Home
Practitioners
Morphology
All Morphological Groups
Centric
Araphid
Eunotioid
Symmetric Biraphid
Monoraphid
Asymmetric Biraphid
Epithemioid
Nitzschioid
Surirelloid
Genera
Species
Glossary
About
About
News
Projects
Mission
Board of Directors
Editorial Review Board
Taxon Contributors
Contact Us
What are diatoms?
Donate
Search
×
Diatoms of North America
Practitioners
Morphology
Centric
Araphid
Eunotioid
Symmetric Biraphid
Monoraphid
Asymmetric Biraphid
Epithemioid
Nitzschioid
Surirelloid
Genera
Species
Glossary
About
News
Projects
Mission
Board of Directors
Editorial Review Board
Taxon Contributors
Contact Us
What are diatoms?
Donate
Search taxa, citations, glossary, contributors, and images
Submit
Close search
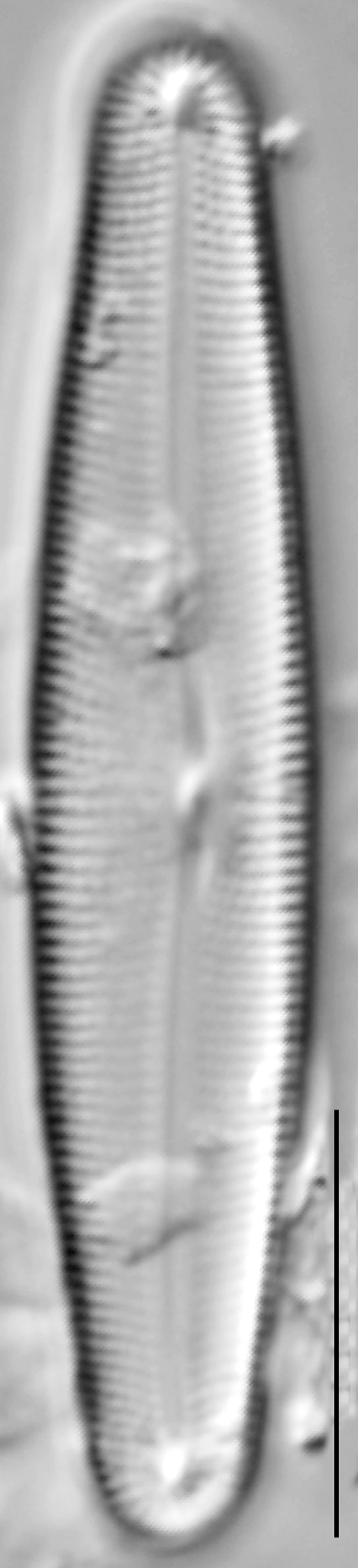
LM_f_creuz_no_ribsLM_f_creuz_no_ribs.png
Species
Frustulia creuzburgensis
Slide Number
JPK 230-25-28
Site ID
JPK 2830SCCWRP CBAH1 P250 QUAL
Name
Agua Hedionda Creek, California
Caption
Deep focal plane
Coordinates
33.15013, -117.24843
Notes
Image showing internal nodules and lack of longitudinal ribs
Scalebar = 10 µm