Home
Practitioners
Morphology
All Morphological Groups
Centric
Araphid
Eunotioid
Symmetric Biraphid
Monoraphid
Asymmetric Biraphid
Epithemioid
Nitzschioid
Surirelloid
Genera
Species
Glossary
About
About
News
Projects
Mission
Board of Directors
Editorial Review Board
Taxon Contributors
Contact Us
What are diatoms?
Donate
Search
×
Diatoms of North America
Practitioners
Morphology
Centric
Araphid
Eunotioid
Symmetric Biraphid
Monoraphid
Asymmetric Biraphid
Epithemioid
Nitzschioid
Surirelloid
Genera
Species
Glossary
About
News
Projects
Mission
Board of Directors
Editorial Review Board
Taxon Contributors
Contact Us
What are diatoms?
Donate
Search taxa, citations, glossary, contributors, and images
Submit
Close search
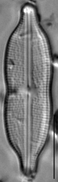
NEbinodis-3.jpg
Species
Neidiomorpha binodiformis
Slide Number
ILL- 2015 Class Collection -154i
Site ID
California State University of Long Beach Cold Creek site 3B, May 2015
Name
Cold Creek 3B, San Bernardino County, California
Coordinates
34.16216, -116.975110
Notes
Same sample material as Iowa Lakeside Lab, ILL2015-154f
Scalebar = 10 µm