Home
Practitioners
Morphology
All Morphological Groups
Centric
Araphid
Eunotioid
Symmetric Biraphid
Monoraphid
Asymmetric Biraphid
Epithemioid
Nitzschioid
Surirelloid
Genera
Species
Glossary
About
About
News
Projects
Mission
Board of Directors
Editorial Review Board
Taxon Contributors
Contact Us
What are diatoms?
Donate
Search
×
Diatoms of North America
Practitioners
Morphology
Centric
Araphid
Eunotioid
Symmetric Biraphid
Monoraphid
Asymmetric Biraphid
Epithemioid
Nitzschioid
Surirelloid
Genera
Species
Glossary
About
News
Projects
Mission
Board of Directors
Editorial Review Board
Taxon Contributors
Contact Us
What are diatoms?
Donate
Search taxa, citations, glossary, contributors, and images
Submit
Close search
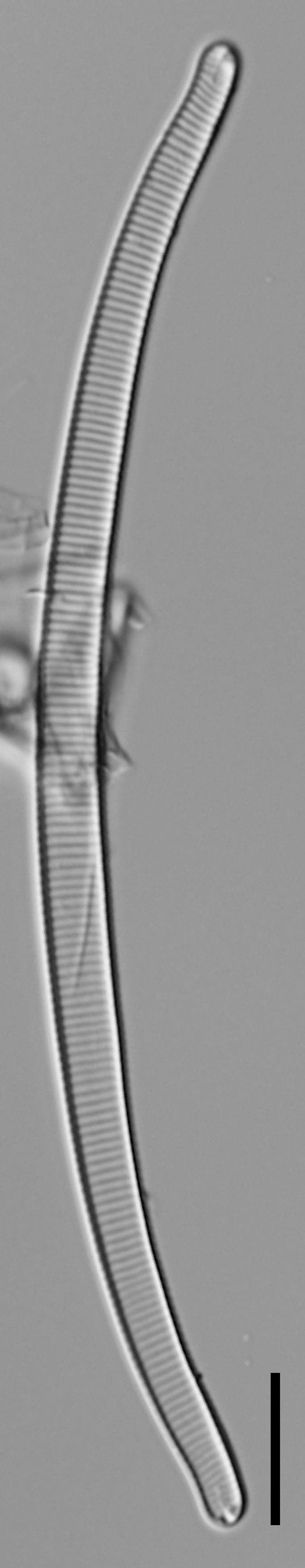
EunotiaSN2_ANP008-jeff_08_ps.jpg
Species
Eunotia panda
Slide Number
Acadia National Park Herbarium (ACAD) 54522b
Site ID
Veselá site 008
Name
Big Heath (wetland), Acadia National Park, Maine
Coordinates
44.233962, -68.320719
Notes
Coll.: 5 June 2008
Scalebar = 10 µm