• Home
  • Practitioners
  • Morphology
    • All Morphological Groups
    • Centric
    • Araphid
    • Eunotioid
    • Symmetric Biraphid
    • Monoraphid
    • Asymmetric Biraphid
    • Epithemioid
    • Nitzschioid
    • Surirelloid
  • Genera
  • Species
  • Glossary
  • About
    • About
    • News
    • Projects
    • Mission
    • Board of Directors
    • Editorial Review Board
    • Taxon Contributors
    • Contact Us
  • What are diatoms?
  • Donate
Diatoms of North AmericaDiatoms of North America
Diatoms of North America
  • Practitioners
  • Morphology
    • Centric
    • Araphid
    • Eunotioid
    • Symmetric Biraphid
    • Monoraphid
    • Asymmetric Biraphid
    • Epithemioid
    • Nitzschioid
    • Surirelloid
  • Genera
  • Species
  • Glossary
  • About
    • News
    • Projects
    • Mission
    • Board of Directors
    • Editorial Review Board
    • Taxon Contributors
    • Contact Us
  • What are diatoms?
  • Donate
Diatoms of North America

Search results for -Jq

  • All results

Images 15819

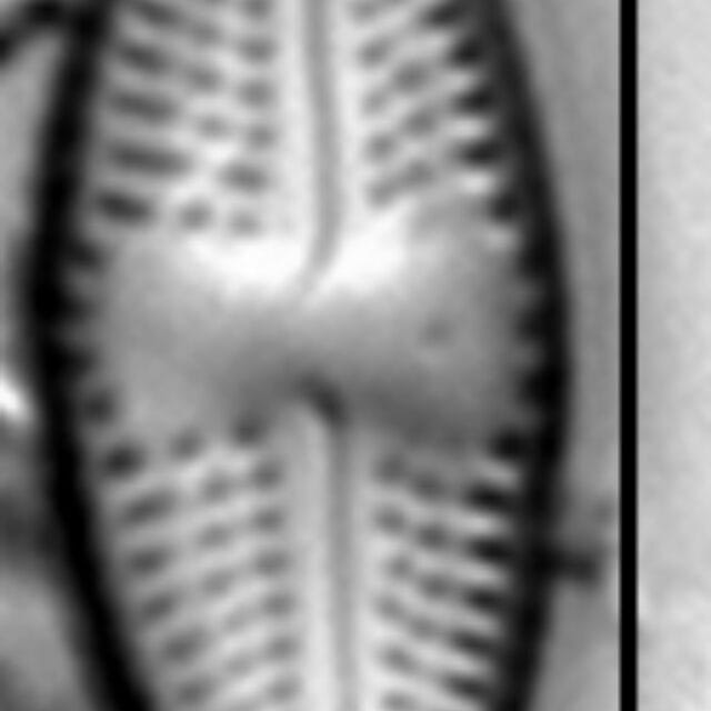
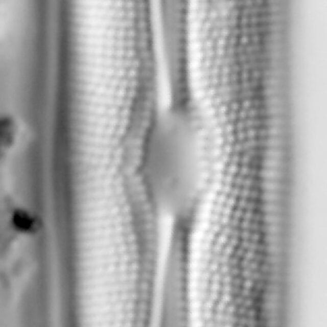
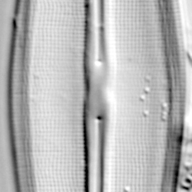
Cas 600484 2  Lk Ozette Wa  Sur Ter6 Copy
Calacust  Mbe1439 A 1044 47 5
Calacust  Mbe1439 A 1127 51 3
Lacustriella lacustris LM1
Calacust  Mbe2215 B 1041 47
Calacust  Mbe2215 B 901 41
Calacust  Mbe2215B 800 36 4
Calacust  Mbe2215B 869 39 5
Calacust  Mbe2215B 916 41 6
Cd38 Na  Luticola Mutica 1
Cd38 Na  Luticola Mutica 2
Cd38 Na  Luticola Mutica 3
Cd38 Na  Luticola Mutica 4
Cd38 Na  Luticola Mutica 5
Frickea lewisiana LM3
Frickea lewisiana LM4
Frickea lewisiana LM2
Frickea lewisiana LM1
Cg 13 I 11 001
Cg 13 I 11 011
Cg 13 I 11 013
Frickea lewisiana LM5
Cg 25 Ii 11 014
Cg 25 Ii 11 015
Cg 25 Ii 11 018
Cg 25 Ii 11 018 1
Frustulia asiatica LM5
Frustulia asiatica LM4
Frustulia asiatica LM2
Frustulia asiatica LM1
Frustulia asiatica LM3
Frustulia rexii LM4
Frustulia rexii LM5
Cg 8 Iii 084 1
Cg 8 Iii 088
Cg 8 Iii 090
Cg 8 Iii 11 003
Frustulia rexii LM2
Cg 8 Iii 11 034
Frustulia rexii LM3
Frustulia rexii LM1
Cg 9 Iii 003
Cg 9 Iii 004
Cg 9 Iii 007
Chaetoceros muelleri LM3
Chaetoceros muelleri LM4
Chaetoceros muelleri LM6
Chaetoceros muelleri LM7
Chelmorei  Mbe504 576 19 5
Chaetoceros muelleri LM1
  • Prev page
  • 32
  • 33
  • 34
  • 35
  • 36
  • You are on page 37
  • 38
  • 39
  • 40
  • 41
  • 42
  • Next page

Diatoms of North America

The source for diatom identification and ecology

Cite as: Spaulding et al. 2021. Diatoms.org: supporting taxonomists, connecting communities. Diatom Research 36(4): 291-304. https://doi.org/10.1080/0269249X.2021.2006790

  • Home
  • What are Diatoms?
  • About
  • Contact Us
  • Donate
  • Practitioners
  • Morphology
  • Genera
  • Species
  • Glossary
Privacy Policy