• Home
  • Practitioners
  • Morphology
    • All Morphological Groups
    • Centric
    • Araphid
    • Eunotioid
    • Symmetric Biraphid
    • Monoraphid
    • Asymmetric Biraphid
    • Epithemioid
    • Nitzschioid
    • Surirelloid
  • Genera
  • Species
  • Glossary
  • About
    • About
    • News
    • Projects
    • Mission
    • Board of Directors
    • Editorial Review Board
    • Taxon Contributors
    • Contact Us
  • What are diatoms?
  • Donate
Diatoms of North AmericaDiatoms of North America
Diatoms of North America
  • Practitioners
  • Morphology
    • Centric
    • Araphid
    • Eunotioid
    • Symmetric Biraphid
    • Monoraphid
    • Asymmetric Biraphid
    • Epithemioid
    • Nitzschioid
    • Surirelloid
  • Genera
  • Species
  • Glossary
  • About
    • News
    • Projects
    • Mission
    • Board of Directors
    • Editorial Review Board
    • Taxon Contributors
    • Contact Us
  • What are diatoms?
  • Donate
Diatoms of North America

Search results for CT

  • All results

Images 2758

Frustulia quadrisinuata LM3
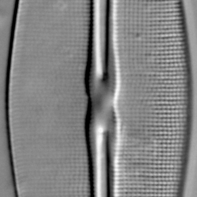
Frustulia saxonica LM7
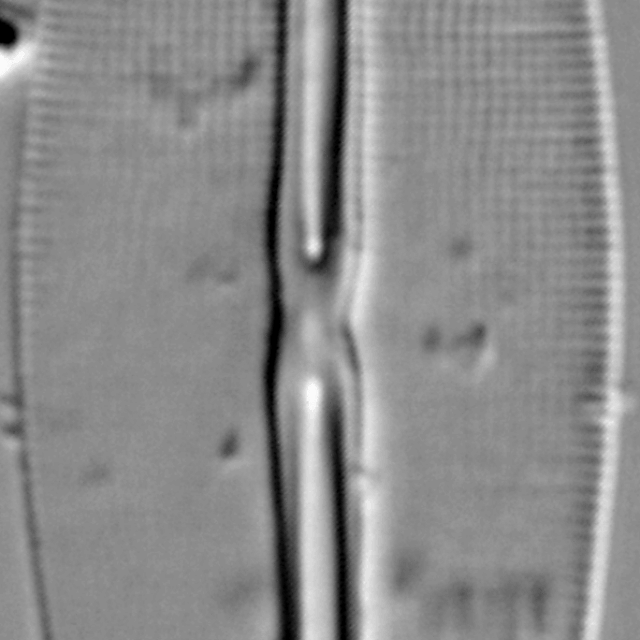
Frustulia saxonica LM6
Frustulia saxonica LM5
Frustulia saxonica LM4
Frustulia saxonica LM3
Frustulia saxonica LM2
Frustulia saxonica LM1
Simonsenia delognei LM5
Simonsenia delognei LM4
Simonsenia delognei LM3
Simonsenia delognei LM2
Simonsenia delognei LM1
Stauroneis smithii var incisa LM7
Stauroneis smithii var incisa LM6
Stauroneis smithii var incisa LM5
Stauroneis smithii var incisa LM4
Stauroneis smithii var incisa LM3
Stauroneis smithii var incisa LM2
Stauroneis smithii var incisa LM1
Stauroneis thermicola LM8
Thalassiosira baltica LM12
Cocconeis pediculus orig illus
Encyonopsis Microcephala Origimag001
Fragilaria rhabdosoma ISOTYPE
H49124 1
Nisemirobusta Or Ill001
Nitzschia Perminuta Origimag001
Plagarizon Origimag1
Plagarizon Origimag2 1
Screen  Shot 2017 06 08 At 8 42 01  Am
Screen  Shot 2017 06 08 At 8 43 09  Am
Ulnaria Rostrata Orig Desc Image
Gomphonema sierranum SEM1
Gomphonema sierranum SEM2
15588 Mix 096 Cl
Navicula genovefae SEM3
15966 Se 026 1Um Cl
15966 Se 027 1Um Cl
Cavpusio  Sem External 10Mu
C Meneghiniana 15631 Mix 085
Diploneis marinestriata SEM
E Bidentula  Sem  Iwb 0082 Manmix 072
Gomphonema caperatum SEM4
Gomphonema caperatum SEM1
G Lingulatiformis 15555 Mix 068 Cl
G Lingulatiformis 15555 Mix 078 Cl
G Reimeri 15555 Mix 072
Odontidium Hyemale 16296 Mix 002
Odontidium Hyemalis 16296 Mix 004 Cl
  • Prev page
  • 45
  • 46
  • 47
  • 48
  • 49
  • You are on page 50
  • 51
  • 52
  • 53
  • 54
  • 55
  • Next page

Diatoms of North America

The source for diatom identification and ecology

Cite as: Spaulding et al. 2021. Diatoms.org: supporting taxonomists, connecting communities. Diatom Research 36(4): 291-304. https://doi.org/10.1080/0269249X.2021.2006790

  • Home
  • What are Diatoms?
  • About
  • Contact Us
  • Donate
  • Practitioners
  • Morphology
  • Genera
  • Species
  • Glossary
Privacy Policy