• Category
  • Length Range
    11.5-18.2 µm
  • Width Range
    3.5-4.5 µm
  • Striae in 10 µm
    26-29 in the center valve

Identification

Description

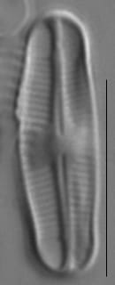
Valve linear-elliptical to linear-lanceolate with subrostrate or subcapitate ends. Raphe valve concave with narrow axial area; central area rectangular or elliptical, transversely expanded. Terminal raphe fissures externally hooked towards the same side of the valve. Central raphe endings are not expanded. Rapheless valve with narrow linear axial area and rhomboid central area. Striae radiate in the middle, becoming parallel toward the ends of the valves. Striae density 26-29 in 10 µm in the middle and 38-44 in 10 µm at the apices of the valves. External openings of areoolae are small, circular or transapically elongated. Each stria in the middle part of the valve contains 7-8 areolae. Striae bordering central area are of the irregular length.

Autecology

Achnanthidium reimeri has been reported from South Carolina (Camburn et al. 1978) and from the Great Smoky Mountains National Park in North Carolina and Tennessee (Johansen et al. 2004). Achnanthidium reimeri was found in silty rivers of relatively low nutrient and ionic content (Ponader and Potapova 2007).

Original Description

Valve linear-elliptical to linear-lanceolate with subrostrate to rostrate apices. Raphe valve with narrow, linear axila area. Central area transversely expanded, rectangular, irregularily bordered at the valve margin by a few shortened striae. Raphe filiform. broadening slightly toward the bulbous central pores; terminal fissures indistinct but appearing unilaterally deflected. Rapheless valve with narrow, linear axial area which abruptly flares at the central area. central area a small oval to transversely expanded, rectangular. Straie radiate, becoming more numerous and almost parallel toward apices, 23-26 in 10 um at the center to 30 in 10 mm near the apices on both valves. Length, 10-18 um; Breadth, 3.5-5.5 um.

  • Basionym
    Achnanthes reimeri
  • Author
    Camburn 1978
  • Length Range
    10-18 µm
  • Width
    3.5-5.5 µm
  • Striae in 10µm
    23-26

Original Images

Achnanthes reimeri orig ilus 2
Achnanthes reimeri orig descr2
Original text and images reproduced with permission by Schweizerbart.

Cite This Page

Potapova, M. (2009). Achnanthidium reimeri. In Diatoms of North America. Retrieved February 14, 2026, from https://diatoms.org/species/44404/achnanthidium_reimeri

Responses

The 15 response plots show an environmental variable (x axis) against the relative abundance (y axis) of Achnanthidium reimeri from all the stream reaches where it was present. Note that the relative abundance scale is the same on each plot. Explanation of each environmental variable and units are as follows:

ELEVATION = stream reach elevation (meters)
STRAHLER = distribution plot of the Strahler Stream Order
SLOPE = stream reach gradient (degrees)
W1_HALL = an index that is a measure of streamside (riparian) human activity that ranges from 0 - 10, with a value of 0 indicating of minimal disturbance to a value of 10 indicating severe disturbance.
PHSTVL = pH measured in a sealed syringe sample (pH units)
log_COND = log concentration of specific conductivity (µS/cm)
log_PTL = log concentration of total phosphorus (µg/L)
log_NO3 = log concentration of nitrate (µeq/L)
log_DOC = log concentration of dissolved organic carbon (mg/L)
log_SIO2 = log concentration of silicon (mg/L)
log_NA = log concentration of sodium (µeq/L)
log_HCO3 = log concentration of the bicarbonate ion (µeq/L)
EMBED = percent of the stream substrate that is embedded by sand and fine sediment
log_TURBIDITY = log of turbidity, a measure of cloudiness of water, in nephelometric turbidity units (NTU).
DISTOT = an index of total human disturbance in the watershed that ranges from 1 - 100, with a value of 0 indicating of minimal disturbance to a value of 100 indicating severe disturbance.