• Category
  • Length Range
    14-17 µm
  • Width Range
    3.8-4.6 µm
  • Striae in 10 µm
    44-50

Identification

Description

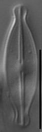
Valves are elliptical-lanceolate with capitate ends. Striae are radiate, rarely discernible in LM. Axial area is linear-lanceolate. Central area is large, asymmetrical, reaching valve margin on one side of the valve. The raphe is absent on one of the valves. The raphe is straight. External proximal raphe ends are simple or slightly expanded.

Autecology

Original Description

  • Basionym
    Achnanthes impexiformis
  • Author
    Lange-Bert. in Lange-Bert. and Krammer 1989
  • Length Range
    12-16 µm
  • Width
    3.5-4.5 µm
  • Striae in 10µm
    45-55

Original Images

Nuimpex  Or Ill001
Or Descr  Achnimpexiformis

Cite This Page

Potapova, M. (2011). Nupela impexiformis. In Diatoms of North America. Retrieved December 14, 2025, from https://diatoms.org/species/46157/nupela_impexiformis

Responses

The 15 response plots show an environmental variable (x axis) against the relative abundance (y axis) of Nupela impexiformis from all the stream reaches where it was present. Note that the relative abundance scale is the same on each plot. Explanation of each environmental variable and units are as follows:

ELEVATION = stream reach elevation (meters)
STRAHLER = distribution plot of the Strahler Stream Order
SLOPE = stream reach gradient (degrees)
W1_HALL = an index that is a measure of streamside (riparian) human activity that ranges from 0 - 10, with a value of 0 indicating of minimal disturbance to a value of 10 indicating severe disturbance.
PHSTVL = pH measured in a sealed syringe sample (pH units)
log_COND = log concentration of specific conductivity (µS/cm)
log_PTL = log concentration of total phosphorus (µg/L)
log_NO3 = log concentration of nitrate (µeq/L)
log_DOC = log concentration of dissolved organic carbon (mg/L)
log_SIO2 = log concentration of silicon (mg/L)
log_NA = log concentration of sodium (µeq/L)
log_HCO3 = log concentration of the bicarbonate ion (µeq/L)
EMBED = percent of the stream substrate that is embedded by sand and fine sediment
log_TURBIDITY = log of turbidity, a measure of cloudiness of water, in nephelometric turbidity units (NTU).
DISTOT = an index of total human disturbance in the watershed that ranges from 1 - 100, with a value of 0 indicating of minimal disturbance to a value of 100 indicating severe disturbance.

Diatoms of North America relies on the financial support of our user community. We aim to build our technical content by engaging diatomists at all levels and training the next generation. We need you to reach our 2025 fundraising goal of $25,000.

If you use and appreciate DONA, make your DONAtion today.