• Category
  • Length Range
    25-40 µm
  • Width Range
    3-4 µm
  • Striae in 10 µm
    32-38

Identification

Description

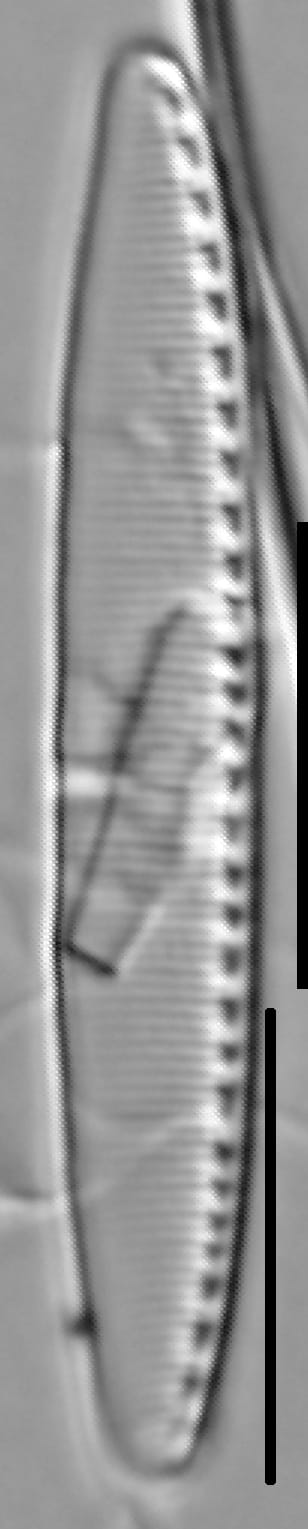
Valves are linear with rounded apices. Fibula are relatively large and distinct, about 10-13 in 10 µm. Striae are resolved in the light microscope but very fine. Individual areolae within striae are not visible.

Autecology

Original Description

  • Author
    Rabenh. 1860

Cite This Page

Kociolek, P. (2011). Nitzschia communis. In Diatoms of North America. Retrieved November 16, 2025, from https://diatoms.org/species/46408/nitzschia_communis

Responses

The 15 response plots show an environmental variable (x axis) against the relative abundance (y axis) of Nitzschia communis from all the stream reaches where it was present. Note that the relative abundance scale is the same on each plot. Explanation of each environmental variable and units are as follows:

ELEVATION = stream reach elevation (meters)
STRAHLER = distribution plot of the Strahler Stream Order
SLOPE = stream reach gradient (degrees)
W1_HALL = an index that is a measure of streamside (riparian) human activity that ranges from 0 - 10, with a value of 0 indicating of minimal disturbance to a value of 10 indicating severe disturbance.
PHSTVL = pH measured in a sealed syringe sample (pH units)
log_COND = log concentration of specific conductivity (µS/cm)
log_PTL = log concentration of total phosphorus (µg/L)
log_NO3 = log concentration of nitrate (µeq/L)
log_DOC = log concentration of dissolved organic carbon (mg/L)
log_SIO2 = log concentration of silicon (mg/L)
log_NA = log concentration of sodium (µeq/L)
log_HCO3 = log concentration of the bicarbonate ion (µeq/L)
EMBED = percent of the stream substrate that is embedded by sand and fine sediment
log_TURBIDITY = log of turbidity, a measure of cloudiness of water, in nephelometric turbidity units (NTU).
DISTOT = an index of total human disturbance in the watershed that ranges from 1 - 100, with a value of 0 indicating of minimal disturbance to a value of 100 indicating severe disturbance.

Diatoms of North America relies on the financial support of our user community. We aim to build our technical content by engaging diatomists at all levels and training the next generation. We need you to reach our 2025 fundraising goal of $25,000.

If you use and appreciate DONA, make your DONAtion today.