• Category
  • Length Range
    9-16 µm
  • Width Range
    2.7-3.0 µm
  • Striae in 10 µm
    20-24
  • Synonyms
    Pinnularia mediocris (Krasske) Mills 1935

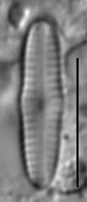
Identification

Description

Valves are linear to broadly oval, with rounded apices and a gibbous middle. The axial area is narrow near the apices, becoming wider near the central area. The central area is a transverse fascia: in some specimens it extends to the valve margins, in other specimens short irregular striae are present at the margins. The raphe is filiform and slightly arched. Terminal nodules are distinct. The striae are parallel and composed of a single, elongate areola on the valve face. A smaller areola is positioned on the valve mantle. Externally, the proximal raphe ends are straight. Internally, the proximal raphe ends are slightly deflected unilaterally.

Autecology

Chamaepinnularia mediocris is found in oligotrophic waters of the US. On the main identification page we document images of specimens from Maine, Pennsylvania and Wyoming. This species was relatively uncommon in the western EMAP survey of US streams and rivers, and never occurred in high relative abundance.The cells from high elevation lakes of Grand Teton National Park are at the small end of the size spectrum, while cells from the eastern US are larger. In the western EMAP survey, C. mediocris was found at pH between 7 and 8.

Img 2876
Credit: Sarah Spaulding
Holly Lake, in Grand Teton National Park, Wyoming, is one of the high elevation lakes where Chamaepinnularia mediocris is found.

Original Description

Schalen linear mit bauchiger Mitte und gerundeten Enden. Streifen krätfig, die beiden mittleren schwächer, parallel, 22-24 in 10 µ. Area schmal, in der Mitte rundlich erweitert. Raphe sehr zart. Lang 9-12 µ, breit 2,5-3 µ.

  • Basionym
    Navicula mediocris
  • Author
    Krasske 1932
  • Length Range
    9-12 µm
  • Width
    2,5-3 µm
  • Striae in 10µm
    22-24

Original Images

N Mediocris Image
N Mediocris Orig

Cite This Page

Otu, M., Spaulding, S. (2011). Chamaepinnularia mediocris. In Diatoms of North America. Retrieved February 07, 2026, from https://diatoms.org/species/46500/chamaepinnularia_mediocris

Responses

The 15 response plots show an environmental variable (x axis) against the relative abundance (y axis) of Chamaepinnularia mediocris from all the stream reaches where it was present. Note that the relative abundance scale is the same on each plot. Explanation of each environmental variable and units are as follows:

ELEVATION = stream reach elevation (meters)
STRAHLER = distribution plot of the Strahler Stream Order
SLOPE = stream reach gradient (degrees)
W1_HALL = an index that is a measure of streamside (riparian) human activity that ranges from 0 - 10, with a value of 0 indicating of minimal disturbance to a value of 10 indicating severe disturbance.
PHSTVL = pH measured in a sealed syringe sample (pH units)
log_COND = log concentration of specific conductivity (µS/cm)
log_PTL = log concentration of total phosphorus (µg/L)
log_NO3 = log concentration of nitrate (µeq/L)
log_DOC = log concentration of dissolved organic carbon (mg/L)
log_SIO2 = log concentration of silicon (mg/L)
log_NA = log concentration of sodium (µeq/L)
log_HCO3 = log concentration of the bicarbonate ion (µeq/L)
EMBED = percent of the stream substrate that is embedded by sand and fine sediment
log_TURBIDITY = log of turbidity, a measure of cloudiness of water, in nephelometric turbidity units (NTU).
DISTOT = an index of total human disturbance in the watershed that ranges from 1 - 100, with a value of 0 indicating of minimal disturbance to a value of 100 indicating severe disturbance.