• Category
  • Length Range
    9.5-24 µm
  • Width Range
    4.2-6.6 µm
  • Striae in 10 µm
    32-45

Identification

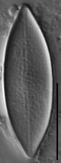
Description

Frustules are heterovalvar; one valve lacks a raphe system. Valves are lanceolate with acute apices. The axial area on the raphe valve widens into a broad, transversely rhomboid or diamond-shaped central area. The striae on the raphe valve are very fine, but can be resolved under LM.

The rapheless valve usually appears nearly structureless under LM, because the striae are too fine to be resolved. The striae on the rapheless valve vary in length. In some valves, the striae are short forming a wide axial area. The axial area bears irregular depressions on the external valve surface. On other valves, the the rapheless valve appears almost without structure. Striae are longer, extending into the center of the valve. These striae, however, are formed not by areolae, but by small transapically elongated depressions on the external valve surface.

Autecology

This taxon is known from the Eastern United States. In the original description, Reimer (1966) noted that it was found in dystrophic waters.

Original Description

  • Basionym
    Achnanthes decipiens
  • Author
    Reimer 1966
  • Length Range
    10-28 µm
  • Width
    5.5-7.5 µm
  • Striae in 10µm
    28-31 raphe valve, 33-35 rapheless valve

Original Images

Achnanthes anastasiae orig illus
Achnanthes decipiens orig descr

Cite This Page

Potapova, M. (2013). Nupela decipiens. In Diatoms of North America. Retrieved January 20, 2026, from https://diatoms.org/species/49239/nupela_decipiens

Responses

The 15 response plots show an environmental variable (x axis) against the relative abundance (y axis) of Nupela decipiens from all the stream reaches where it was present. Note that the relative abundance scale is the same on each plot. Explanation of each environmental variable and units are as follows:

ELEVATION = stream reach elevation (meters)
STRAHLER = distribution plot of the Strahler Stream Order
SLOPE = stream reach gradient (degrees)
W1_HALL = an index that is a measure of streamside (riparian) human activity that ranges from 0 - 10, with a value of 0 indicating of minimal disturbance to a value of 10 indicating severe disturbance.
PHSTVL = pH measured in a sealed syringe sample (pH units)
log_COND = log concentration of specific conductivity (µS/cm)
log_PTL = log concentration of total phosphorus (µg/L)
log_NO3 = log concentration of nitrate (µeq/L)
log_DOC = log concentration of dissolved organic carbon (mg/L)
log_SIO2 = log concentration of silicon (mg/L)
log_NA = log concentration of sodium (µeq/L)
log_HCO3 = log concentration of the bicarbonate ion (µeq/L)
EMBED = percent of the stream substrate that is embedded by sand and fine sediment
log_TURBIDITY = log of turbidity, a measure of cloudiness of water, in nephelometric turbidity units (NTU).
DISTOT = an index of total human disturbance in the watershed that ranges from 1 - 100, with a value of 0 indicating of minimal disturbance to a value of 100 indicating severe disturbance.