• Category
  • Length Range
    12.4-25.4 µm
  • Width Range
    4.3-5.9 µm
  • Striae in 10 µm
    32-36
  • Synonyms
    Anomoeoneis vitrea (Grunow) R.Ross in R.M.Patrick and Reimer 1966

Identification

Description

This taxon is being evaluated and may be updated as a newly described taxon following Van de Vijver et al. (2023).

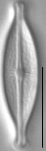
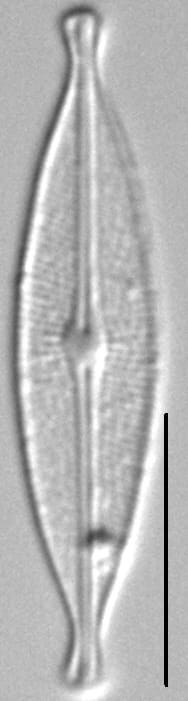
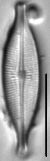
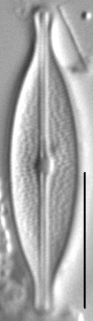
Valves are broadly elliptic-lanceolate with capitate apices. The axial area is narrow. The central area is small and elliptic. The raphe is filiform and straight. Proximal raphe ends are weakly expanded. Distal raphe ends are indistinct in LM. Striae are radiate and uniseriate. Areolae in the striae are transapically elliptic to bacilliform. Areolae are irregularly spaced, creating a pattern of undulating longitudinal lines.

Note that Patrick and Reimer (1966) reported Brachysira microcephala as Anomoneis vitrea, in error. That reference was a source of confusion for many analysts. See also the Brachysira microcephala page.

Autecology

Specimens of B. vitrea pictured on this website were collected from the Cheyenne River in western South Dakota and from Connelly Fen on the Northwestern Great Plains in Montana (photo below). Connelly Fen, a shallow, highly calcareous fen, has a pH of 7.60 and a specific conductance of 1500 µS/cm. Common diatom associates of B. vitrea in Connelly Fen are Denticula kuetzingii, Denticula valida, Epithemia argus and species of Mastogloia

Connelly  Fen  Site 1
Credit: Peter Lesica
Connelly Fen, Blackfeet Reservation, Glacier County, Montana: home of Brachysira vitrea.

Original Description

  • Basionym
    Gomphonema ? vitrea
  • Author
    Grunow in O.Schneid. 1878

Citations & Links

Links

  • Index Nominum Algarum
  • North American Diatom Ecological Database
    NADED ID: 18006

Cite This Page

Bahls, L. (2014). Brachysira vitrea. In Diatoms of North America. Retrieved January 13, 2026, from https://diatoms.org/species/49689/brachysira_vitrea

Responses

The 15 response plots show an environmental variable (x axis) against the relative abundance (y axis) of Brachysira vitrea from all the stream reaches where it was present. Note that the relative abundance scale is the same on each plot. Explanation of each environmental variable and units are as follows:

ELEVATION = stream reach elevation (meters)
STRAHLER = distribution plot of the Strahler Stream Order
SLOPE = stream reach gradient (degrees)
W1_HALL = an index that is a measure of streamside (riparian) human activity that ranges from 0 - 10, with a value of 0 indicating of minimal disturbance to a value of 10 indicating severe disturbance.
PHSTVL = pH measured in a sealed syringe sample (pH units)
log_COND = log concentration of specific conductivity (µS/cm)
log_PTL = log concentration of total phosphorus (µg/L)
log_NO3 = log concentration of nitrate (µeq/L)
log_DOC = log concentration of dissolved organic carbon (mg/L)
log_SIO2 = log concentration of silicon (mg/L)
log_NA = log concentration of sodium (µeq/L)
log_HCO3 = log concentration of the bicarbonate ion (µeq/L)
EMBED = percent of the stream substrate that is embedded by sand and fine sediment
log_TURBIDITY = log of turbidity, a measure of cloudiness of water, in nephelometric turbidity units (NTU).
DISTOT = an index of total human disturbance in the watershed that ranges from 1 - 100, with a value of 0 indicating of minimal disturbance to a value of 100 indicating severe disturbance.