• Category
  • Length Range
    8-9 µm
  • Width Range
    3-3.8 µm
  • Striae in 10 µm
    38

Identification

Description

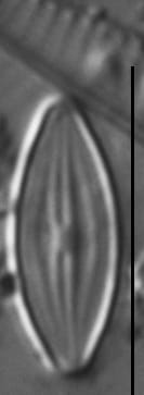
Valves are small and lanceolate, with acute apices. The sternum and central nodule are prominent and distinctly thickened. The proximal raphe ends are also prominent, while the distal raphe ends are difficult to resolve in LM. Lyre-shaped depressions are present on both sides of the sternum. Striae are not visible with the light microscope. SEM reveals striae are present and comprised of single rows of areolae. The depressions contain small costae (microcostae). In living cells two plastids are present, pressed to the cingulum.

Populations in the US are more narrow than those of the original description in Europe (Hustedt 1930).

Autecology

Most common in subaerial habitats such as wetwalls and spray zones.

Original Description

  • Basionym
    Navicula krasskei
  • Author
    Hust. 1930
  • Length Range
    6-15 µm
  • Width
    4-5 µm
  • Striae in 10µm
    not given

Original Images

M  Keel Original Photo
Micro Description

Cite This Page

Lowe, R. (2015). Microcostatus krasskei. In Diatoms of North America. Retrieved December 07, 2025, from https://diatoms.org/species/50228/microcostatus_krasskei

Responses

The 15 response plots show an environmental variable (x axis) against the relative abundance (y axis) of Microcostatus krasskei from all the stream reaches where it was present. Note that the relative abundance scale is the same on each plot. Explanation of each environmental variable and units are as follows:

ELEVATION = stream reach elevation (meters)
STRAHLER = distribution plot of the Strahler Stream Order
SLOPE = stream reach gradient (degrees)
W1_HALL = an index that is a measure of streamside (riparian) human activity that ranges from 0 - 10, with a value of 0 indicating of minimal disturbance to a value of 10 indicating severe disturbance.
PHSTVL = pH measured in a sealed syringe sample (pH units)
log_COND = log concentration of specific conductivity (µS/cm)
log_PTL = log concentration of total phosphorus (µg/L)
log_NO3 = log concentration of nitrate (µeq/L)
log_DOC = log concentration of dissolved organic carbon (mg/L)
log_SIO2 = log concentration of silicon (mg/L)
log_NA = log concentration of sodium (µeq/L)
log_HCO3 = log concentration of the bicarbonate ion (µeq/L)
EMBED = percent of the stream substrate that is embedded by sand and fine sediment
log_TURBIDITY = log of turbidity, a measure of cloudiness of water, in nephelometric turbidity units (NTU).
DISTOT = an index of total human disturbance in the watershed that ranges from 1 - 100, with a value of 0 indicating of minimal disturbance to a value of 100 indicating severe disturbance.

Diatoms of North America relies on the financial support of our user community. We aim to build our technical content by engaging diatomists at all levels and training the next generation. We need you to reach our 2025 fundraising goal of $25,000.

If you use and appreciate DONA, make your DONAtion today.