• Category
  • Length Range
    9.3-9.8 µm
  • Width Range
    3.5-4.5 µm
  • Striae in 10 µm
    14-16
  • Synonyms
    Tabellaria binalis var. elliptica Flower 1989

Identification

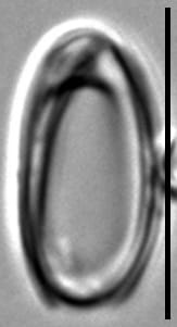
Description

Valves are elliptic, with a flat valve face and rounded apices. The sternum is more or less in the center and aligned with the apical axis. Stria are parallel in the valve center and become slightly curved and radiate at the apices. Girdle bands number 4-5 in 10 µm. A septum is present on each girdle band at one end. The opposite end of the girdle band may be open or closed. Valves have a single rimoportula and apical pore fields that are not visible in LM.

Autecology

Oxyneis binalis var. elliptica can form ribbon-like by attachment of marginal silicious flanges (Siver and Hamilton 2011) or zigzag colonies by attachment at the apical pore fields with mucilage pads (Flower 1989). Oxyneis binalis var. elliptica has been reported from acidic lakes of the northeastern United States (Flower 1989, Siver and Hamilton 2011).

Original Description

Frustules rectangular, united into zig-zag colonies; one valve of each frustule with a serrate ridge at the junction of the valve face and mantle; valves elliptical, 8.0-13.5 µm long, 3.0-5.0 µm wide; striae 15-22.5 in 10 µm; areola c. 60 in 10 µm, both in the striae and in the distinct apical pore fields; a single sub-apical rimoportula often present on each valve. Holotypes: The holotype specimen from the Round Loch of Glenhead (Galloway, Scotland) has been placed in the British Museum (Natural History) herbarium on slide number BM81530.

  • Basionym
    Tabellaria binalis var. elliptica
  • Author
    Flower 1989
  • Length Range
    8.0-13.5 µm
  • Width
    3.0-5.0 µm
  • Striae in 10µm
    15-22.5

Original Images

Tabinaris Velliptica Original Image
Tabinaris Velliptica Original Text

Cite This Page

Burge, D., Edlund, M. (2016). Oxyneis binalis var. elliptica. In Diatoms of North America. Retrieved December 06, 2025, from https://diatoms.org/species/51749/oxyneis_binalis_var._elliptica

Responses

The 15 response plots show an environmental variable (x axis) against the relative abundance (y axis) of Oxyneis binalis var. elliptica from all the stream reaches where it was present. Note that the relative abundance scale is the same on each plot. Explanation of each environmental variable and units are as follows:

ELEVATION = stream reach elevation (meters)
STRAHLER = distribution plot of the Strahler Stream Order
SLOPE = stream reach gradient (degrees)
W1_HALL = an index that is a measure of streamside (riparian) human activity that ranges from 0 - 10, with a value of 0 indicating of minimal disturbance to a value of 10 indicating severe disturbance.
PHSTVL = pH measured in a sealed syringe sample (pH units)
log_COND = log concentration of specific conductivity (µS/cm)
log_PTL = log concentration of total phosphorus (µg/L)
log_NO3 = log concentration of nitrate (µeq/L)
log_DOC = log concentration of dissolved organic carbon (mg/L)
log_SIO2 = log concentration of silicon (mg/L)
log_NA = log concentration of sodium (µeq/L)
log_HCO3 = log concentration of the bicarbonate ion (µeq/L)
EMBED = percent of the stream substrate that is embedded by sand and fine sediment
log_TURBIDITY = log of turbidity, a measure of cloudiness of water, in nephelometric turbidity units (NTU).
DISTOT = an index of total human disturbance in the watershed that ranges from 1 - 100, with a value of 0 indicating of minimal disturbance to a value of 100 indicating severe disturbance.

Diatoms of North America relies on the financial support of our user community. We aim to build our technical content by engaging diatomists at all levels and training the next generation. We need you to reach our 2025 fundraising goal of $25,000.

If you use and appreciate DONA, make your DONAtion today.