• Category
  • Length Range
    21.3-66.1 µm
  • Width Range
    3.9-5.9 µm
  • Striae in 10 µm
    18.5-22.5

Identification

Description

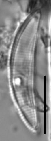
Frustules lanceolate in girdle view because of amphoroid symmetry. Valves strongly arcuate with convex dorsal and concave ventral margins; dorsal margin more arched. Ends acutely rounded. Small but distinct helictoglossae located subterminally along ventral margin. Two rimoportulae per valve, located at each valve end. Striae parallel, slightly finer density at valve ends.

Although Gaiser and Johansen (2000) reported this taxon to have rectangular frustules in girdle view, we found several specimens on the type slide that are lanceolate in girdle view because valves have broader dorsal mantles than ventral mantles. We also clearly illustrate that there are two rimoportulae per valve, one at each end (Edlund and Brant 2010), a feature that was not reported in the original description.

Autecology

Eunotia sarraceniae is currently known only from the “Carolina bays” area near its type locality, Sarracenia Bay in western South Carolina. Gaiser and Johansen (2000) found it rare to uncommon in 17 bays, where this taxon was found on mosses, as epiphyton, in leaf litter, and in the plankton. It had an optimum pH of 4.5 and water depth of 13 cm. Common associates were Eunotia and Pinnularia spp.

Original Description

Frustules rectangular in girdle view. Valve lunate or arcuate, with strongly convex dorsal margin and smoothly concave ventral margin, 4.0-6.0 µm wide (mean = 4.8 µm), 30.5-52 µm long (mean = 35.1 µm). Apices of valve acute or rounded, narrowing to slightly attenuated at ends. Short terminal nodules (helictoglossae) distinct on ventral margin, somewhat removed from apices of the valve. Striae parallel, fine, 22-28 in 10 µm (mean = 24).

  • Author
    E.E.Gaiser and J.R.Johans. 2000
  • Length Range
    30.5-52 µm
  • Width
    4-6 µm
  • Striae in 10µm
    22-28

Original Images

Eunotia sarraceniae orig illus
Eunotia sarraceniae orig desc

Cite This Page

Edlund, M., Burge, D. (2017). Eunotia sarraceniae. In Diatoms of North America. Retrieved November 17, 2025, from https://diatoms.org/species/52343/eunotia_sarraceniae

Responses

The 15 response plots show an environmental variable (x axis) against the relative abundance (y axis) of Eunotia sarraceniae from all the stream reaches where it was present. Note that the relative abundance scale is the same on each plot. Explanation of each environmental variable and units are as follows:

ELEVATION = stream reach elevation (meters)
STRAHLER = distribution plot of the Strahler Stream Order
SLOPE = stream reach gradient (degrees)
W1_HALL = an index that is a measure of streamside (riparian) human activity that ranges from 0 - 10, with a value of 0 indicating of minimal disturbance to a value of 10 indicating severe disturbance.
PHSTVL = pH measured in a sealed syringe sample (pH units)
log_COND = log concentration of specific conductivity (µS/cm)
log_PTL = log concentration of total phosphorus (µg/L)
log_NO3 = log concentration of nitrate (µeq/L)
log_DOC = log concentration of dissolved organic carbon (mg/L)
log_SIO2 = log concentration of silicon (mg/L)
log_NA = log concentration of sodium (µeq/L)
log_HCO3 = log concentration of the bicarbonate ion (µeq/L)
EMBED = percent of the stream substrate that is embedded by sand and fine sediment
log_TURBIDITY = log of turbidity, a measure of cloudiness of water, in nephelometric turbidity units (NTU).
DISTOT = an index of total human disturbance in the watershed that ranges from 1 - 100, with a value of 0 indicating of minimal disturbance to a value of 100 indicating severe disturbance.

Diatoms of North America relies on the financial support of our user community. We aim to build our technical content by engaging diatomists at all levels and training the next generation. We need you to reach our 2025 fundraising goal of $25,000.

If you use and appreciate DONA, make your DONAtion today.