• Category
  • Length Range
    35-82 µm
  • Width Range
    13-28 µm
  • Striae in 10 µm
    12-15

Identification

Description

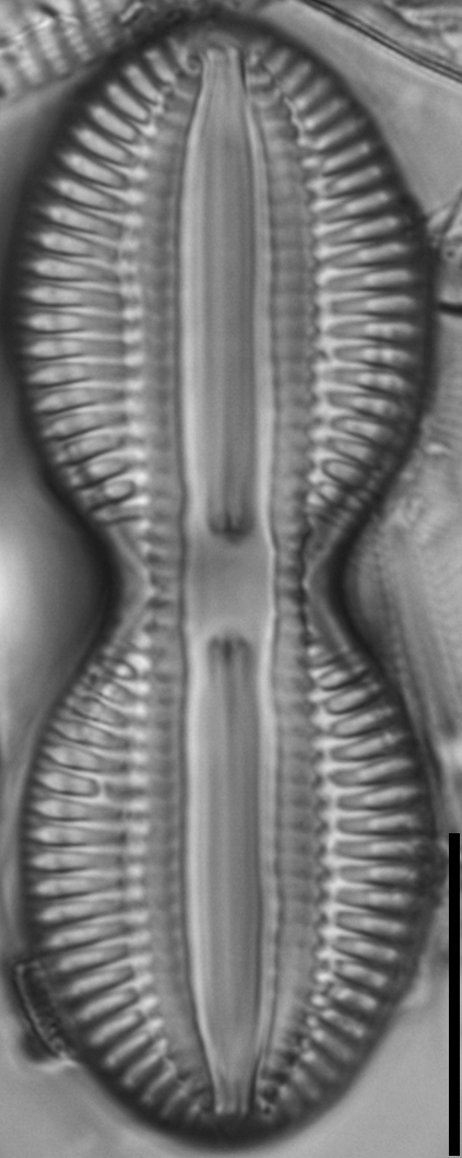
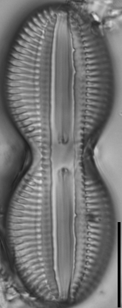
Valves are panduriform, with a strong central constriction. The apices are broadly rounded. The axial area is linear. The central area is rectangular and extends to the valve margins. Longitudinal canals are linear. The raphe is straight, with expanded external proximal ends. Terminal raphe fissures are hook-shaped. Striae are biseriate and radiate between apices and mid-valve, becoming convergent toward the central area. Areolae are externally occluded by cribra and are not visible under LM. A single row of coarse round cribrate pores is positioned on the external surface of each longitudinal canal. 

Autecology

Diploneis interrupta is common in brackish and marine habitats, especially along the Atlantic coasts of North America, Europe and Asia. Specimens shown on this page are from a salt marsh in Long Island, New York. 

Original Description

  • Basionym
    Navicula interrupta
  • Author
    Kütz. 1844
  • Length Range
    27-90 µm

Original Images

IMG 2968
IMG 2967

Cite This Page

Papadakis, C., Potapova, M., Aycock, L. (2025). Diploneis interrupta. In Diatoms of North America. Retrieved January 18, 2026, from https://diatoms.org/species/61799/diploneis-interrupta

Responses

The 15 response plots show an environmental variable (x axis) against the relative abundance (y axis) of Diploneis interrupta from all the stream reaches where it was present. Note that the relative abundance scale is the same on each plot. Explanation of each environmental variable and units are as follows:

ELEVATION = stream reach elevation (meters)
STRAHLER = distribution plot of the Strahler Stream Order
SLOPE = stream reach gradient (degrees)
W1_HALL = an index that is a measure of streamside (riparian) human activity that ranges from 0 - 10, with a value of 0 indicating of minimal disturbance to a value of 10 indicating severe disturbance.
PHSTVL = pH measured in a sealed syringe sample (pH units)
log_COND = log concentration of specific conductivity (µS/cm)
log_PTL = log concentration of total phosphorus (µg/L)
log_NO3 = log concentration of nitrate (µeq/L)
log_DOC = log concentration of dissolved organic carbon (mg/L)
log_SIO2 = log concentration of silicon (mg/L)
log_NA = log concentration of sodium (µeq/L)
log_HCO3 = log concentration of the bicarbonate ion (µeq/L)
EMBED = percent of the stream substrate that is embedded by sand and fine sediment
log_TURBIDITY = log of turbidity, a measure of cloudiness of water, in nephelometric turbidity units (NTU).
DISTOT = an index of total human disturbance in the watershed that ranges from 1 - 100, with a value of 0 indicating of minimal disturbance to a value of 100 indicating severe disturbance.