Chamaepinnularia krooki is wider, with more exaggerated central area and distal ends. 

Chamaepinnularia krasskei is nearly linear, with broadly rounded ends.

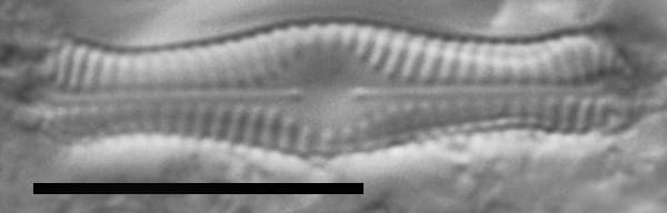
LM scalebar = 10 µm
Length Range
13.4-19.8 µm
Width Range
2.6-3.4 µm
Striae in 10 µm
22-26
Chamaepinnularia gandrupii LM6
Chamaepinnularia gandrupii LM1
Chamaepinnularia gandrupii LM2
Chamaepinnularia gandrupii LM7
Chamaepinnularia gandrupii LM3
Chamaepinnularia gandrupii LM4
Chamaepinnularia gandrupii LM5
Chamaepinnularia gandrupii LM6 Chamaepinnularia gandrupii LM1 Chamaepinnularia gandrupii LM2 Chamaepinnularia gandrupii LM7 Chamaepinnularia gandrupii LM3 Chamaepinnularia gandrupii LM4 Chamaepinnularia gandrupii LM5

Chamaepinnularia krookii

(Grunow) Lange-Bert. and Krammer 1999

Length Range
18.8-22 µm
Width Range
4-5.1 µm
Striae in 10 µm
15-19
Chamaepinularia krookii LM5 Chamaepinnularia krookii LM2 Chamaepinnularia krookii LM1 Chamaepinnularia krookii LM3 Chamaepinnularia krookii LM4 Chamaepinularia krookii LM6 Chamaepinularia krookii LM5

Chamaepinnularia krasskei

Lange-Bertalot 1999

Length Range
8.7-16.7 µm
Width Range
2.6-3.2 µm
Striae in 10 µm
22-24
Chamaepinnularia krasskei LM6 Chamaepinnularia krasskei LM4 Chamaepinnularia krasskei LM5 Chamaepinnularia krasskei LM3 Chamaepinnularia krasskei LM7 Chamaepinnularia krasskei LM2 Chamaepinnularia krasskei LM1