Eunotia bidens is similar in shape and dimensions to E. richbuttensis; however, E. bidens valves have a lower areola density, ventral undulations, and subcapitate ends. While similar in shape to E. superbidens, valves of E. bidens differ by smaller breadth at the valve center and ends. In contrast to E. praerupta, E. bidens has more narrow valves and a higher stria density. Eunotia diodon is similarly biundulate on the dorsal margin, but E. bidens differs by less valve curvature and a lower areola density.

LM scalebar = 10 µm
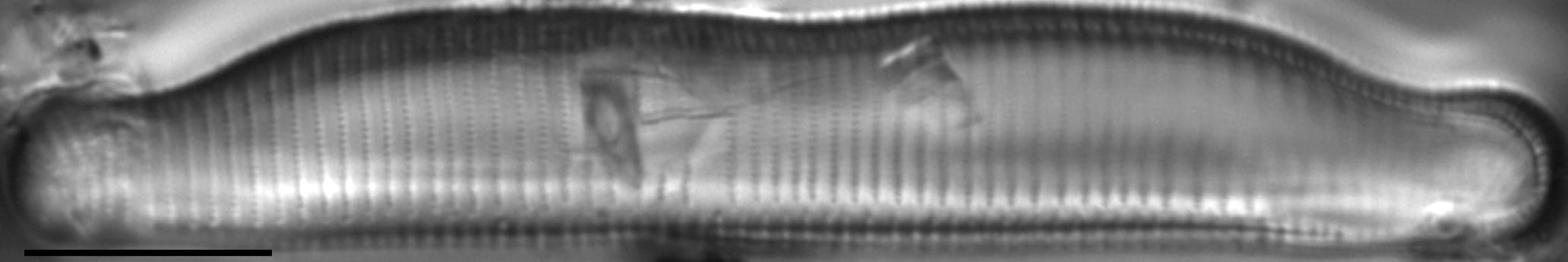
Length Range
46.7-60.0 µm
Width Range
at the valve center: 8.5-10.5 µm
Striae in 10 µm
9-12 in the valve center, 12-15 at the ends
Eunotia bidens LM1
Eunotia bidens LM2
Eunotia bidens LM3
Eunotia bidens LM4
Eunotia bidens LM5
Eunotia bidens LM6
Eunotia bidens LM7
Eunotia bidens LM1 Eunotia bidens LM2 Eunotia bidens LM3 Eunotia bidens LM4 Eunotia bidens LM5 Eunotia bidens LM6 Eunotia bidens LM7

Eunotia richbuttensis

Furey, R.L.Lowe and Johansen 2011

Length Range
20-59 µm
Width Range
7.3-9.9 µm
Striae in 10 µm
10-14 at the center of the valve, 12-16 at the ends
Eunotia richbuttensis LM1 Eunotia richbuttensis LM2 Eunotia richbuttensis LM3 Eunotia richbuttensis LM4 Eunotia richbuttensis LM5 Eunotia richbuttensis LM6

Eunotia superbidens

Lange-Bert. 2011

Length Range
23.3-111.2 µm
Width Range
at the valve center: 11.4-16.7 µm
Striae in 10 µm
7-11 in the valve center, 12-14 at the ends.
Eunotia superbidens LM1 Eunotia superbidens LM2 Eunotia superbidens LM3 Eunotia superbidens LM4 Eunotia superbidens LM5 Eunotia superbidens LM6 Eunotia superbidens LM7

Also compare to

Eunotia praerupta

Ehrenb.

Eunotia diodon

Ehrenb.