Home
Practitioners
Morphology
All Morphological Groups
Centric
Araphid
Eunotioid
Symmetric Biraphid
Monoraphid
Asymmetric Biraphid
Epithemioid
Nitzschioid
Surirelloid
Genera
Species
Glossary
About
About
News
Projects
Mission
Board of Directors
Editorial Review Board
Taxon Contributors
Contact Us
What are diatoms?
Donate
Search
×
Diatoms of North America
Practitioners
Morphology
Centric
Araphid
Eunotioid
Symmetric Biraphid
Monoraphid
Asymmetric Biraphid
Epithemioid
Nitzschioid
Surirelloid
Genera
Species
Glossary
About
News
Projects
Mission
Board of Directors
Editorial Review Board
Taxon Contributors
Contact Us
What are diatoms?
Donate
Search taxa, citations, glossary, contributors, and images
Submit
Close search
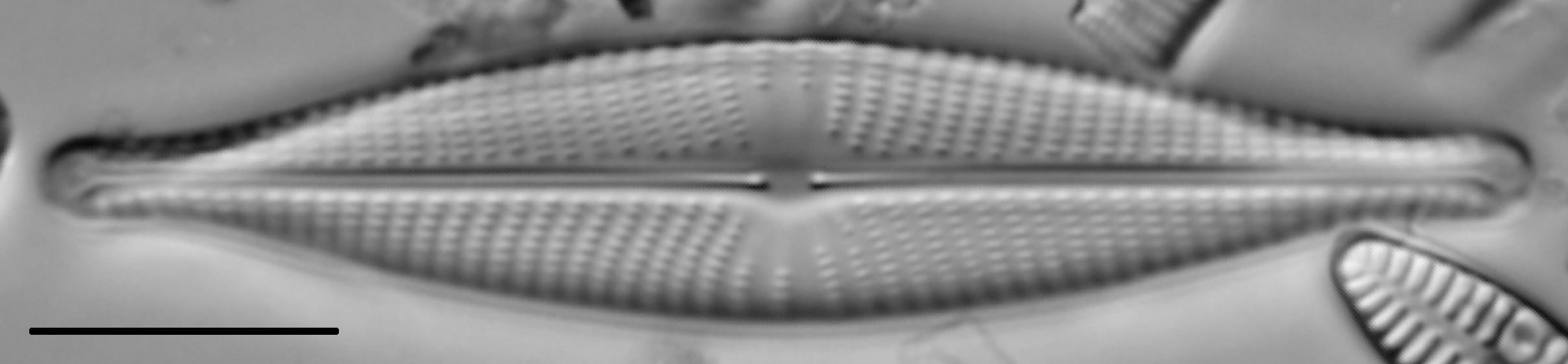
Return to overview
Compare
Navicula
hasta
Pant. 1892
This taxon is distinct within
Navicula.
LM scalebar = 10 µm
Length Range
77.6-86.9 µm
Width Range
14.7-15.4 µm
Striae in 10 µm
9-9.5 in the valve center, 11-12 at the ends
Navicula rhynchocephala
Ehrenb. 1844
Length Range
48-53 µm
Width Range
9-10 µm
Striae in 10 µm
8-9 at the center, 11-12 towards the apices
Navicula flatheadensis
Bahls 2011
Length Range
45-75 µm
Width Range
10.3-13.5 µm
Striae in 10 µm
10-12