Compare

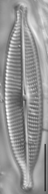
Navicula rostellata differs from N. germainii by linear-lanceolate and on average slightly wider valves. The areolae are more clearly visible under LM in N. rostellata than in N. germainii. Navicula subrhynchocephala can be distinguished by proximal raphe ends hooked to the secondary valve side, almost symmetric central nodule, straight striae in the valve center, and lower areola density (24-25 in 10 μm compared to 30 in 10 μm in N. rostellata).

LM scalebar = 10 µm
Gs113649 1 Gsn24379 07 Gsn24379 05 Navicula rostellata LM6 Navicula rostellata LM1 Gsn24379 03 Gsn24379 06
Length Range
32-41 µm
Width Range
8.0-9.1 µm
Striae in 10 µm
12-14

Navicula germainii

J.H.Wallace 1960

Gsn24379 04 1 Gs127032  Nagerm 1 Gc42397  Nagerm  Notin Circle6 Gs127032  Nagerm 4 1 Gsn24379 01 Gsn24379 02 1 Gs127032  Nagerm 2
Length Range
32-39 µm
Width Range
7.0-8.3 µm
Striae in 10 µm
13-15

Navicula subrhynchocephala

Hust. 1935

Navicula subrhrynchocephala LM6 Navicula subrhrynchocephala LM7 Navicula subrhyncocephala LM4 Navicula subrhynchocephala LM2 Navicula subrhynchocephala LM1 Navicula subhynchocephala LM3 Navicula subrhrynchocephala LM5
Length Range
29-42 µm
Width Range
7.5-8.9 µm
Striae in 10 µm
12-14

Also compare to

Navicula amphiceropsis

Lange-Bert. and U.Rumrich

BioData Reference
Rumrich et al. 2000 Pl. 42 Figs 1-12