Pinnularia nobilis, P. nobilis var. regularis, P. roland-schmidtii, and P. pulchella var. canadensis have larger internal opening of alveoli, whose edges collectively appear in LM as a longitudinal line transecting the striae close to the central area.

Pinnularia roland-schmidtii, a species so far only known from South America, has a higher valve length/width ratio.

Pinnularia nobilis and P. nobilis var. regularis differ by more linear valves and a complex raphe.

Pinnularia pulchella var. canadensis is smaller and has large drop-shaped proximal raphe ends.

Pinnularia alabamae is larger and has capitate-cuneate apices and spines on the valve margin.

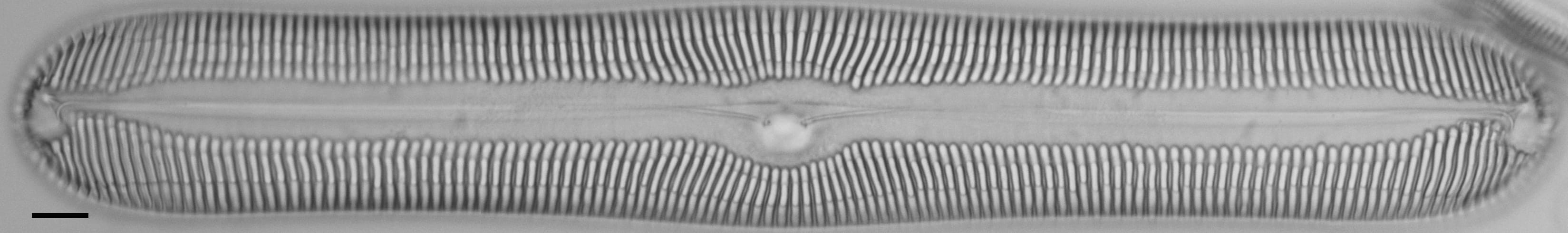
LM scalebar = 10 µm
Length Range
185–335 µm
Width Range
29–44 µm
Striae in 10 µm
5–6 throughout the valve, up to 9 around central area
Pinnularia ectorii LM5
Pinnularia ectorii LM6
Pinnularia ectorii LM6
Pinnularia ectorii LM3
Pinnularia ectorii LM4
Pinnularia ectorii LM1
Pinnularia ectorii LM2
Pinnularia ectorii LM5 Pinnularia ectorii LM6 Pinnularia ectorii LM6 Pinnularia ectorii LM3 Pinnularia ectorii LM4 Pinnularia ectorii LM1 Pinnularia ectorii LM2
Length Range
200-270 µm
Width Range
32.5-39 µm
Striae in 10 µm
5
Pinnularia nobilis ANSP BOY738 85 Pinnularia nobilis ANSP BOY738 71 Pinnularia nobilis ANSP BOY738 72 Pinnularia nobilis ANSP BOY738 51 Pinnularia nobilis ANSP BOY738 84 Pinnularia nobilis ANSP BOY738 75 Pinnularia nobilis ANSP BOY738 66
Length Range
183-232 µm
Width Range
29-34 µm
Striae in 10 µm
6-7
Pulchella canadensis LM5 Pulchella canadensis LM1 Pulchella canadensis LM4 Pulchella canadensis LM2 Pulchella canadensis LM3 Pulchella canadensis LM7 Pulchella canadensis LM6

Pinnularia alabamae

Krammer 2000

Length Range
180-370 µm
Width Range
32-48 µm
Striae in 10 µm
5-6
Pinnularia alabamae LM5 Pinnularia alabamae LM4 Pinnularia alabamae LM1 Pinnularia alabamae LM7 Pinnularia alabamae LM2 Pinnularia alabamae LM3 Pinnularia alabamae LM6

Also compare to

Pinnularia nobilis

(Ehren.)Ehren.

Pinnularia roland-schmidtii

Metzeltin and Lange-Bert.