Pinnularia gibba has broader valves with a wider axial area.

Both P. subcapitata and P. subcapitata var. elongata have fascia and less convergent striae at the apices.

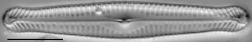
LM scalebar = 10 µm
Length Range
40.7-48 µm
Width Range
5.8-6.8 µm
Striae in 10 µm
12
Pinnularia gibbiformis ANSP 00404 02
Pinnularia gibbiformis ANSP 00404 05
Pinnularia gibbiformis ANSP 00404 01
Pinnularia gibbiformis ANSP 00404 03
Pinnularia gibbiformis ANSP NCPA0019 07
Pinnularia gibbiformis ANSP 00404 04
Pinnularia gibbiformis ANSP 00404 06
Pinnularia gibbiformis ANSP 00404 02 Pinnularia gibbiformis ANSP 00404 05 Pinnularia gibbiformis ANSP 00404 01 Pinnularia gibbiformis ANSP 00404 03 Pinnularia gibbiformis ANSP NCPA0019 07 Pinnularia gibbiformis ANSP 00404 04 Pinnularia gibbiformis ANSP 00404 06
Length Range
35-56 µm
Width Range
5.7-6.2 µm
Striae in 10 µm
11-13
Pinnularia subcapitata var elongata LM7 Pinnularia subcapitata var elongata LM5 Pinnularia subcapitata var elongata LM4 Pinnularia subcapitata var elongata LM3 Pinnularia subcapitata var elongata LM2 Pinnularia subcapitata var elongata LM6 Pinnularia subcapitata var elongata LM1

Also compare to

Pinnularia gibba

BioData Reference
Krammer 2000 Pl 68 Fig 1-8 Pl 69 Fig 1-5

Pinnularia subcapitata

BioData Reference
Krammer 2000 Pl 88 Fig 49-56