Compare

Pinnularia transvera, P neomajor, and P. ruttneri are all larger species, with a lower stria density.

Pinnularia guadalupensis is smaller and has a more narrow axial area.

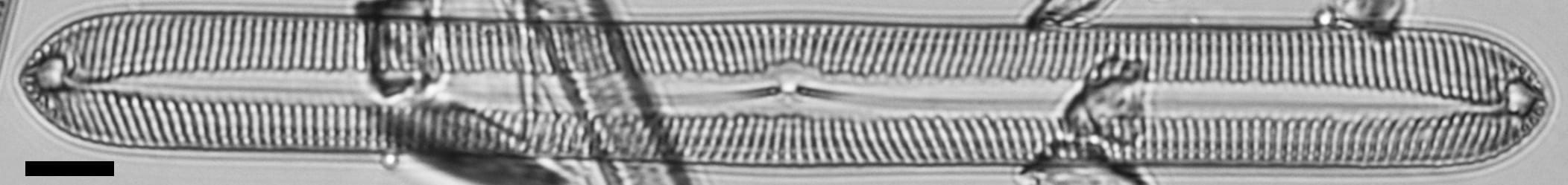
LM scalebar = 10 µm
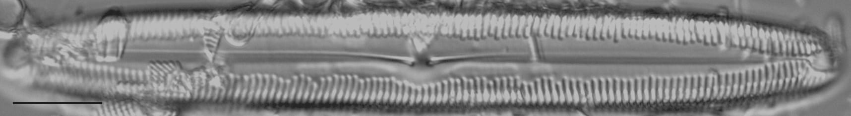
Pinnularia kwacksii LM6 Pinnularia kwacksii LM2 Pinnularia kwacksii LM4 Pinnularia kwacksii LM3 Pinnularia kwacksii LM1 Pinnularia kwacksii LM5 Pinnularia kwacksii LM7
Length Range
93-154 µm
Width Range
11-14 µm
Striae in 10 µm
12-13

Pinnularia transversa

(A. Schmidt) Mayer 1940

Pinnularis transversa LM7 Pinnularis transversa LM2 Pinnularis transversa LM6 Pinnularis transversa LM1 Pinnularis transversa LM4 Pinnularis transversa LM3 Pinnularis transversa LM5
Length Range
168.6-224.5 µm
Width Range
16-19 µm
Striae in 10 µm
8-10

Also compare to

Pinnularia ruttneri

BioData Reference
Krammer 2000 Pl 183 Fig 4

Pinnularia neomajor

Krammer 1992

Pinnularia guadalupensis

Manguin in Bourrelly and Manguin 1952

Diatoms of North America relies on the financial support of our user community. We aim to build our technical content by engaging diatomists at all levels and training the next generation. We need you to reach our 2025 fundraising goal of $25,000.

If you use and appreciate DONA, make your DONAtion today.