Pinnularia nodosa is less capitate and has a larger fascia and a narrower axial area. Pinnularia nodosa var. percapitata has a central undulation wider than its distal undulations, a larger fascia and a narrower axial area.

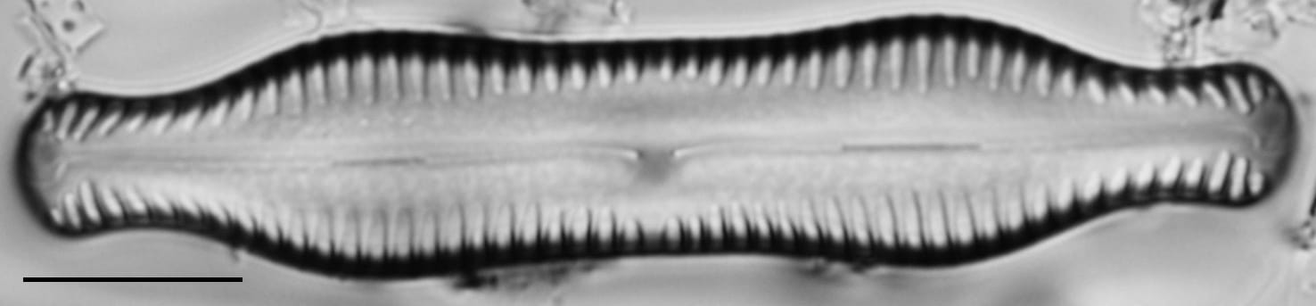
LM scalebar = 10 µm
Length Range
54-71.6 µm
Width Range
11.1-12.5 µm
Striae in 10 µm
8-10
Pinnularia scotica LM2
Pinnularia scotica LM3
Pinnularia scotica LM7
Pinnularia scotica LM1
Pinnularia scotica LM5
Pinnularia scotica LM6
Pinnularia scotica LM4
Pinnularia scotica LM2 Pinnularia scotica LM3 Pinnularia scotica LM7 Pinnularia scotica LM1 Pinnularia scotica LM5 Pinnularia scotica LM6 Pinnularia scotica LM4

Pinnularia nodosa

(Ehrenb.) W.Sm. 1856

Length Range
40.9-65.2 µm
Width Range
7.6-9.3 µm
Striae in 10 µm
9-11
Pinnularia nodosa LM7 Pinnularia nodosa LM6 Pinnularia nodosa LM2 Pinnularia nodosa LM5 Pinnularia nodosa LM4 Pinnularia nodosa LM1 Pinnularia nodosa LM3
Length Range
42.5-69.7 µm
Width Range
7.7-10.6 µm
Striae in 10 µm
10
Pinnularia nodosa var percapitata LM5 Pinnularia nodosa var percapitata LM4 Pinnularia nodosa var percapitata LM3 Pinnularia nodosa var percapitata LM2 Pinnularia nodosa var percapitata LM1