Compare

Although the striae of P. parasitica are similar to those of P. pseudoconstruens, the valves of P. pseudoconstruens are cruciform in shape.

LM scalebar = 10 µm
Pseudostaurosira parasitica LM1 Pseudostaurosira parasitica LM5 Pseudostaurosira parasitica LM3 Pseudostaurosira parasitica LM2 Pseudostaurosira parasitica LM4
Length Range
9-18 µm
Width Range
4.5-5 µm
Striae in 10 µm
19-21

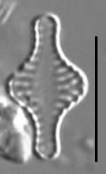
Pseudostaurosira pseudoconstruens

(Marciniak) D.M.Williams and Round 1987

Pseudostaurosira pseudoconstruens LM4 Pseudostaurosira pseudoconstruens LM1 Pseudostaurosira pseudoconstruens LM6 Pseudostaurosira pseudoconstruens LM7 Pseudostaurosira pseudoconstruens LM3 Pseudostaurosira pseudoconstruens LM2
Length Range
8-15.5 µm
Width Range
3.5-7 µm
Striae in 10 µm
8.5 near the center increasing to 18 at the apices