Rhoicosphenia abbreviata can be distinguished from various species of the genus Gomphonema by the strong arch of the valve (as seen in girdle view), the reduced raphe on the dorsal valve, and the presence of more developed pseudoseptae. A number of species within Rhoicosphenia are thought to be present within North America, including R. californica and R. stoermeri. Rhoicosphenia californica has narrow valves with protracted apices. Rhoicosphenia stoermeri has a distinct central area, panduriform in shape.

LM scalebar = 10 µm
Length Range
10–55 µm
Width Range
4–8 µm
Striae in 10 µm
15-20
57002  Lm1 1
57002  Lm3 1
57002  Lm5 1
57002  Lm2 1
57002  Lm4 1
57002  Lm1 1 57002  Lm3 1 57002  Lm5 1 57002  Lm2 1 57002  Lm4 1

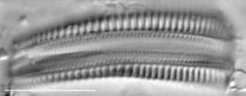
Rhoicosphenia californica

Thomas and Kociolek 2015

Length Range
8-50 µm
Width Range
3-6 µm
Striae in 10 µm
11-12 in the center valve, 13-15 at the ends
Rhoicosphenia californica LM1 Rhoicosphenia californica LM2 Rhoicosphenia californica LM3 Rhoicosphenia californica LM4 Rhoicosphenia californica LM5 Rhoicosphenia californica LM6 Rhoicosphenia californica LM7

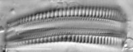
Rhoicosphenia stoermeri

Thomas and Kociolek 2015

Length Range
25-84 µm
Width Range
6-9 µm
Striae in 10 µm
11-13 in the center valve, 14-16 at the ends
Rhoicosphenia stoermeri LM7 Rhoicosphenia stoermeri LM6 Rhoicosphenia stoermeri LM5 Rhoicosphenia stoermeri LM4 Rhoicosphenia stoermeri LM3 Rhoicosphenia stoermeri LM2 Rhoicosphenia stoermeri LM1

Also compare to

Gomphonema sp.