Compare

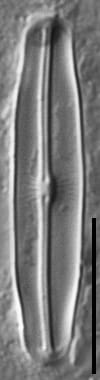
Sellaphora wallacei is shorter, narrower, and has a larger apex breadth to valve breadth ratio.

LM scalebar = 10 µm
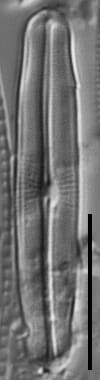
Sellaphora stauroneioides LM2 Sellaphora stauroneioides LM7 Sellaphora stauroneioides LM4 Sellaphora stauroneioides LM5 Sellaphora stauroneioides LM6 Sellaphora stauroneioides LM1 Sellaphora stauroneioides LM3
Length Range
22.2-30.6 µm
Width Range
6.2-6.9 µm
Striae in 10 µm
28-31 at mid-valve, unresolvable high density toward the apices

Sellaphora wallacei

(Reimer) Potapova and Ponader 2008

Gc105959  Gsn95451 3 Gc105959  Gsn95451 7 Gc105959  Gsn95451 4 Gc105959  Gsn95451 5 Gc105959  Gsn95451 9 Gc105959  Gsn95451 8 Gc105959  Gsn95451 6
Length Range
16-26 µm
Width Range
4.1-4.7 µm
Striae in 10 µm
40-48