Compare

Stauroneis schroederi may be distinguished from S. bryocola by its very narrow apices. Stauroneis neohyalina has linear-lanceolate valves with finer striae and areolae. Stauroneis gracilior, S. kootenai, and S. pikuni all have wider, capitate apices. Stauroneis subgracilior has smaller valves with a narrower stauros and finer striae and areolae.

LM scalebar = 10 µm
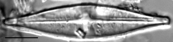
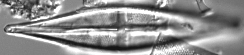
Stauroneis schroederi LM6 Stauroneis schroederi LM5 Stauroneis schroederi LM4 Stauroneis schroederi LM3
Length Range
40-64 µm
Width Range
7.4-11.1 µm
Striae in 10 µm
24-28

Stauroneis bryocola

Van de Vijver and Lange-Bert. 2004

Stauroneis bryocola LM5 Stauroneis bryocola LM4 Stauroneis bryocola LM3 Stauroneis bryocola LM2 Stauroneis bryocola LM1
Length Range
41-58 µm
Width Range
8.3-9.8 µm
Striae in 10 µm
27-30

Stauroneis kootenai

Bahls 2010

Stauroneis kootenai LM5 Stauroneis kootenai LM4 Stauroneis kootenai LM3 Stauroneis kootenai LM2 Stauroneis kootenai LM1
Length Range
34-52 µm
Width Range
8.1-10.3 µm
Striae in 10 µm
20-28

Stauroneis neohyalina

Lange-Bert. and Krammer 1996

Stauroneis neohyalina LM6 Stauroneis neohyalina LM5 Stauroneis neohyalina LM4 Stauroneis neohyalina LM3 Stauroneis neohyalina LM2 Stauroneis neohyalina LM1
Length Range
32-49 µm
Width Range
6.0-9.0 µm
Striae in 10 µm
32-40

Stauroneis pikuni

Bahls 2010

Stauroneis pikuni LM7 Stauroneis pikuni LM6 Stauroneis pikuni LM5 Stauroneis pikuni LM4 Stauroneis pikuni LM3 Stauroneis pikuni LM2 Stauroneis pikuni LM1
Length Range
53-64 µm
Width Range
9.0-12.0 µm
Striae in 10 µm
24-28

Also compare to

Stauroneis gracilior

(Rabenh.) E.Reichardt

Stauroneis subgracilior

Lange-Bert., Cavacini, Tagliaventi, and Alfinito

Diatoms of North America relies on the financial support of our user community. We aim to build our technical content by engaging diatomists at all levels and training the next generation. We need you to reach our 2025 fundraising goal of $25,000.

If you use and appreciate DONA, make your DONAtion today.