Stauroneis smithii has a lower stria density than S. smithii var. incisa. Stauroneis separanda is smaller in size and has a distinct triundulate outline. Both S. ignorata and S. ignorata var. rupestris have axial areas that widen near the center of the valve, creating a circular or rhomboid central area.

LM scalebar = 10 µm
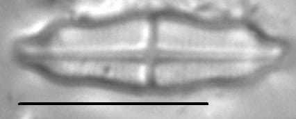
Length Range
19-36.8 µm
Width Range
4.4-5.8 µm
Striae in 10 µm
32-36
Stauroneis smithii var incisa LM2
Stauroneis smithii var incisa LM3
Stauroneis smithii var incisa LM4
Stauroneis smithii var incisa LM5
Stauroneis smithii var incisa LM6
Stauroneis smithii var incisa LM1
Stauroneis smithii var incisa LM7
Stauroneis smithii var incisa LM2 Stauroneis smithii var incisa LM3 Stauroneis smithii var incisa LM4 Stauroneis smithii var incisa LM5 Stauroneis smithii var incisa LM6 Stauroneis smithii var incisa LM1 Stauroneis smithii var incisa LM7

Stauroneis smithii

Grunow 1860

Length Range
18-28 µm
Width Range
5.8-7.7 µm
Striae in 10 µm
25-30
Stauroneis smithii LM6 Stauroneis smithii LM5 Stauroneis smithii LM4 Stauroneis smithii LM3 Stauroneis smithii LM2 Stauroneis smithii LM1

Stauroneis separanda

Lange-Bert. and Werum in Werum and Lange-Bert. 2004

Length Range
13.9-15.3 µm
Width Range
3.8-4.8 µm
Striae in 10 µm
30
Stauroneis separanda LM5 Stauroneis separanda LM4 Stauroneis separanda LM3 Stauroneis separanda LM2 Stauroneis separanda LM1

Also compare to

Stauroneis ignorata

Hust. 1939

Stauroneis ignorata var. rupestris

(Skvortzov) Reimer 1961