Home
Practitioners
Morphology
All Morphological Groups
Centric
Araphid
Eunotioid
Symmetric Biraphid
Monoraphid
Asymmetric Biraphid
Epithemioid
Nitzschioid
Surirelloid
Genera
Species
Glossary
About
About
News
Projects
Mission
Board of Directors
Editorial Review Board
Taxon Contributors
Contact Us
What are diatoms?
Donate
Search
×
Diatoms of North America
Practitioners
Morphology
Centric
Araphid
Eunotioid
Symmetric Biraphid
Monoraphid
Asymmetric Biraphid
Epithemioid
Nitzschioid
Surirelloid
Genera
Species
Glossary
About
News
Projects
Mission
Board of Directors
Editorial Review Board
Taxon Contributors
Contact Us
What are diatoms?
Donate
Search taxa, citations, glossary, contributors, and images
Submit
Close search
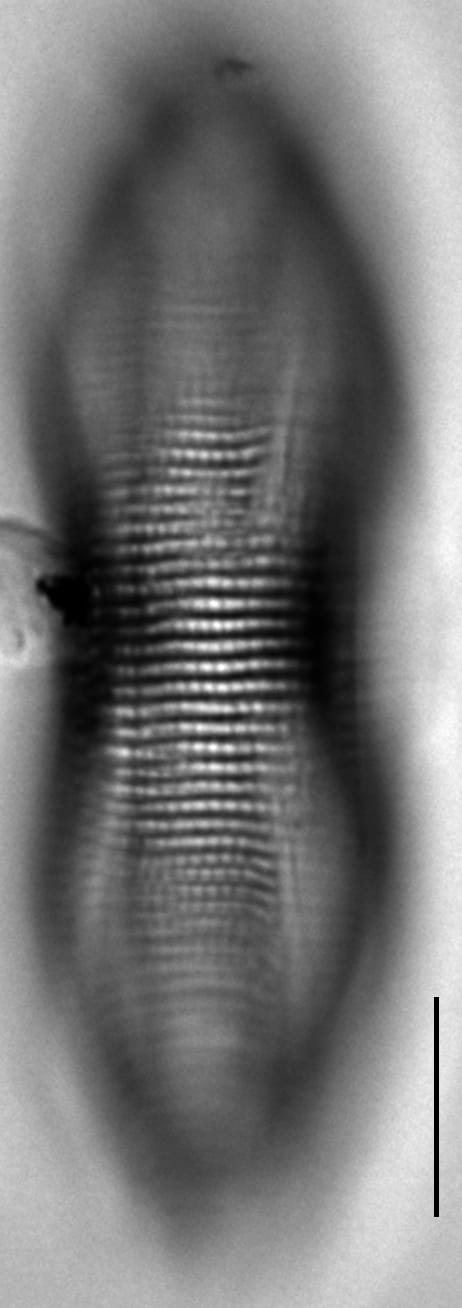
AMcalumedica_MBE2215b_1232_56.jpg
Species
Amphora calumetica
Slide Number
Science Museum of Minnesota MBE Collection 2215b
Site ID
Vermilion Point Plankton Tow
Name
Vermilion Point, Lake Superior, Chippewa County, Michigan
Caption
Dorsal mantle view
Coordinates
46°45.911'N, 85°9.247'W
Scalebar = 10 µm