• Category
  • Length Range
    67-94 µm
  • Width Range
    10-12 µm
  • Striae in 10 µm
    19-20 transapical striae; 20-22 longitudinal rows of areolae
  • Synonyms
    Pleurosigma nodiferum Grunow
  • Reported As
    Gyrosigma sciotoense (Sterrenburg 1994 pg. 218, Figs 4,7)
    Gyrosigma sciotoense (Lange-Bertalot et al. 2017 pg. 329, Figs 64:4-8)

Identification

Description

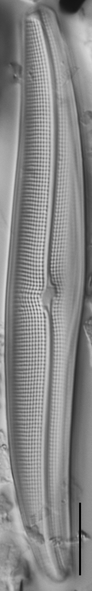
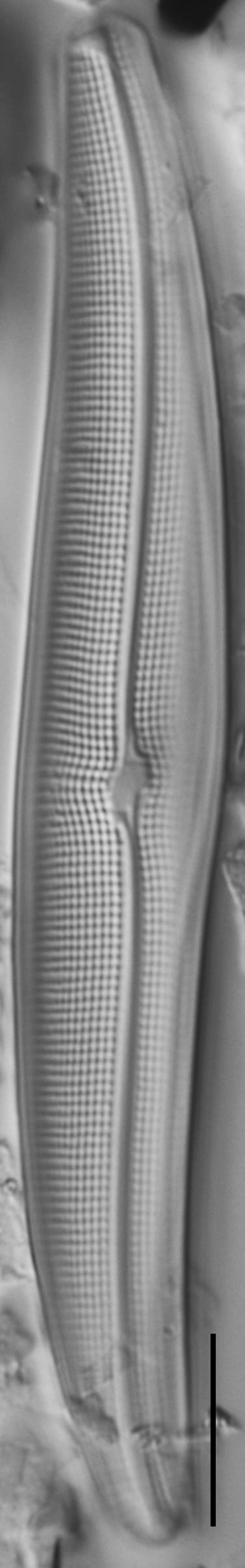
Valves are linear-lanceolate and moderately sigmoid, with broadly rounded apices. The central part of the valve is nearly straight. The axial area is narrow. The central area is apically elongated, rectangular to irregularly shaped and rotated with respect to the axial area. The raphe is sigmoid, with a double curvature. The proximal and the terminal raphe fissures are turned in opposite directions. External proximal raphe ends vary in shape, and are often hook-shaped. Internal proximal raphe ends are straight. Terminal nodules are triangular and expanded. Transverse striae are very slightly curved in valve center and continue as a row of single elongated areolae around the terminal nodules at the valve apices. Areolae form longitudinal rows that are curved around central area.

Note that Patrick and Reimer (1966) illustrated another species not known at the time but later described as Gyrosigma reimeri Sterrenburg under the name of G. nodiferum. Consequently, many records of G. nodiferum in the US actually belong to G. reimeri. Sterrenburg (1994) considered G. nodiferum to be synonymous with Gyrosigma sciotoense, which is a very similar, but considerably larger diatom. Following Sterrenburg's view, the recent European diatom floras (Hoffman et al. 2013, Lange-Bertalot et al. 2017) reported G. nodiferum as G. sciotoense.

Autecology

Gyrosigma nodiferum is an epipelic species found mostly in rivers with high mineral content. 

Original Description

Pl. nodiferum Grun. Fast linear, schwach, sigmoidisch, gegen die stumpfen Enden hin verdünnt. Mittellinie schwach gebogen, etwas unterhalb der Spitze auslaufend. Mittelknoten länglich, mit einer ähnlichen schiefen Area wie bei der vorigen Art, welche welche fast wie zwei knotige Verdickungen des Mittelknotens aussieht. Querstreifen in der Mitte sehr schwach radial, 17-20 in 0,01 mm., Längsstreifen 23 in 0,01 mm. Länge 0,06-0,10 mm. Nicht selten in süssen Wassern Europas, sowie im schwach salzigen Wasser Elbmündung under der Samoa Inseln.

  • Basionym
    Pleurosigma nodiferum
  • Author
    Grunow 1880
  • Length Range
    60-100 µm
  • Striae in 10µm
    17-20

Original Images

Gyrosigma Nodiferum Orig Descr

Cite This Page

Potapova, M. (2026). Gyrosigma nodiferum. In Diatoms of North America. Retrieved March 28, 2026, from https://diatoms.org/species/349746/gyrosigma-nodiferum

Responses

The 15 response plots show an environmental variable (x axis) against the relative abundance (y axis) of Gyrosigma nodiferum from all the stream reaches where it was present. Note that the relative abundance scale is the same on each plot. Explanation of each environmental variable and units are as follows:

ELEVATION = stream reach elevation (meters)
STRAHLER = distribution plot of the Strahler Stream Order
SLOPE = stream reach gradient (degrees)
W1_HALL = an index that is a measure of streamside (riparian) human activity that ranges from 0 - 10, with a value of 0 indicating of minimal disturbance to a value of 10 indicating severe disturbance.
PHSTVL = pH measured in a sealed syringe sample (pH units)
log_COND = log concentration of specific conductivity (µS/cm)
log_PTL = log concentration of total phosphorus (µg/L)
log_NO3 = log concentration of nitrate (µeq/L)
log_DOC = log concentration of dissolved organic carbon (mg/L)
log_SIO2 = log concentration of silicon (mg/L)
log_NA = log concentration of sodium (µeq/L)
log_HCO3 = log concentration of the bicarbonate ion (µeq/L)
EMBED = percent of the stream substrate that is embedded by sand and fine sediment
log_TURBIDITY = log of turbidity, a measure of cloudiness of water, in nephelometric turbidity units (NTU).
DISTOT = an index of total human disturbance in the watershed that ranges from 1 - 100, with a value of 0 indicating of minimal disturbance to a value of 100 indicating severe disturbance.