Gyrosigma sciotoense is similar in all aspects, except that it is considerably larger. 
Gyrosigma reimeri has external depressions on the central area and lacks double curvature of the raphe slits. 
Gyrosigma obtusatum has a symmetric central area and a higher stria density of transapical striae. 

LM scalebar = 10 µm
Length Range
67-94 µm
Width Range
10-12 µm
Striae in 10 µm
19-20 transapical striae; 20-22 longitudinal rows of areolae
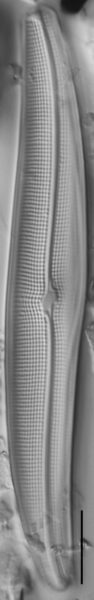
Gyrosigma Nodiferum LM1 GC114556 008
Gyrosigma Nodiferum LM6 GC107027a 005
Gyrosigma Nodiferum LM4 GC114556 009
Gyrosigma Nodiferum LM3 GC114556 007
Gyrosigma Nodiferum LM2 GC114556 010b
Gyrosigma Nodiferum LM7 GC107027a 003
Gyrosigma Nodiferum LM5 GC107027a 004
Gyrosigma Nodiferum LM1 GC114556 008 Gyrosigma Nodiferum LM6 GC107027a 005 Gyrosigma Nodiferum LM4 GC114556 009 Gyrosigma Nodiferum LM3 GC114556 007 Gyrosigma Nodiferum LM2 GC114556 010b Gyrosigma Nodiferum LM7 GC107027a 003 Gyrosigma Nodiferum LM5 GC107027a 004

Gyrosigma reimeri

Sterrenburg 1994

Length Range
66-138 µm
Width Range
13-15 µm
Striae in 10 µm
18-20 transverse; 22-24 longitudinal
Gyrosigma reimeri LM5 Gyrosigma reimeri LM3 Gyrosigma reimeri LM2 Gyrosigma reimeri LM7 Gyrosigma reimeri LM6 Gyrosigma reimeri LM1 Gyrosigma reimeri LM4

Gyrosigma obtusatum

(Sullivant and Wormley) C.S. Boyer 1922

Length Range
53-154 µm
Width Range
8-15 µm
Striae in 10 µm
22-26
Gyrosigma obtusatum LM5 Gyrosigma obtusatum LM1 Gyrosigma obtusatum LM3 Gyrosigma obtusatum LM6 Gyrosigma obtusatum LM77 Gyrosigma obtusatum LM22

Also compare to

Gyrosigma sciotoense

(Sull. and Wormley) Cleve

BioData Reference
Sterrenburg 1994 Fig 1-7