• Category
  • Diameter
    6-23 µm
  • Width Range
    5-14 µm
  • Striae in 10 µm
    7-13
  • Synonyms
    Melosira lirata (Ehrenb.) Kütz.
    Melosira distans f. lirata (Ehrenb.) O.Müll.
    Aulacoseira distans var. lirata (Ehrenb.) Simonsen

Identification

Description

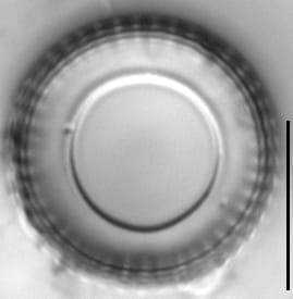
Frustules are thick, cylindrical and form short colonies. Valves 6-23 µm in diameter, with a mantle height of 5-14 µm. The ratio of the mantle height to valve diameter is close to 1. The mantle has straight sides. The valve face is flat. Rows of coarse round or elliptical pervalvar areolae are straight, parallel to the pervalvar axis or slightly curved to the right (dextrorse) and number 7-13 in 10 µm. There are 7-10 areolae in 10 µm within a row, some areolae may be missing. The areolae closest to the collum are often the largest. The valve face is unornamented except for one row of marginal areolae. Spines are branching at their apices. The ringleiste is solid and variable in thickness, from moderately shallow to rather deep.

Autecology

Original Description

G. lirata, habitu G. granulatae, lineis validioribus liratim continuis.

  • Basionym
    Gaillonella lirata
  • Author
    Ehrenb. 1843

Original Images

Gaillonella lirata orig descr

Cite This Page

English, J., Potapova, M. (2011). Aulacoseira lirata. In Diatoms of North America. Retrieved March 23, 2026, from https://diatoms.org/species/45631/aulacoseira_lirata

Responses

The 15 response plots show an environmental variable (x axis) against the relative abundance (y axis) of Aulacoseira lirata from all the stream reaches where it was present. Note that the relative abundance scale is the same on each plot. Explanation of each environmental variable and units are as follows:

ELEVATION = stream reach elevation (meters)
STRAHLER = distribution plot of the Strahler Stream Order
SLOPE = stream reach gradient (degrees)
W1_HALL = an index that is a measure of streamside (riparian) human activity that ranges from 0 - 10, with a value of 0 indicating of minimal disturbance to a value of 10 indicating severe disturbance.
PHSTVL = pH measured in a sealed syringe sample (pH units)
log_COND = log concentration of specific conductivity (µS/cm)
log_PTL = log concentration of total phosphorus (µg/L)
log_NO3 = log concentration of nitrate (µeq/L)
log_DOC = log concentration of dissolved organic carbon (mg/L)
log_SIO2 = log concentration of silicon (mg/L)
log_NA = log concentration of sodium (µeq/L)
log_HCO3 = log concentration of the bicarbonate ion (µeq/L)
EMBED = percent of the stream substrate that is embedded by sand and fine sediment
log_TURBIDITY = log of turbidity, a measure of cloudiness of water, in nephelometric turbidity units (NTU).
DISTOT = an index of total human disturbance in the watershed that ranges from 1 - 100, with a value of 0 indicating of minimal disturbance to a value of 100 indicating severe disturbance.