• Category
  • Diameter
    5-9 µm
  • Width Range
    2-5 µm
  • Striae in 10 µm
    24-40
  • Synonyms
    Aulacoseira distans var. humilis (A.Cleve) R.Ross in B.Hartley

Identification

Description

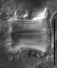
Frustules are cylindrical and form short colonies. Valves are 5-9 µm in diameter, with a mantle height between 2-5 µm. The ratio of the mantle height to valve diameter is less than 1. The mantle has straight sides and the valve face is often strongly convex or concave. The valve face has large, round areolae in a marginal ring and the area inside this ring has similar but irregularly positioned areolae. These valve face areolae have a density of 17 per 10 µm. The straight pervalvar rows of areolae are positioned in pairs, within grooves. There are 24-40 rows of areolae in 10 µm. The smaller areolae are often not visible in LM, but a pair of areolae can appear together as a single, large areola, which would give the striae an apparent density of 12-20 per 10 µm. The density of the areolae along each row is between 16-22 per 10 µm. Terminating each pair of rows is a single, large areola. The spines are located at the end of each pervalvar costa. The spines are long and thin, tapering away from the valve face, have an anchor-shaped end and may be up to 3 µm long. Linking and separation spines are not differentiated. The ringleiste is solid, shallow and broad.

Florin (1981) notes that in Cleve-Euler’s (1951) examination of this taxon she found that the diameter can be as great as 12 µm. The striae in Florin (1981), at 10 per 10 µm, are coarser than what we observed. Siver and Kling (1997) note that the tips of the spines are slightly swollen rather than anchor-shaped. They also found that most of the valves had convex valve faces and a few had flat faces, but make no mention of concave faces.

Autecology

Original Description

M. distans v. humilis n. v. -Fig. 1. Zellen kleiner als im Typus, 8.85 µ hoch and 6 µ breit; vertikale Punktreihen 10 in 10 µ.

Einzelne Fäden in Joukj. Diese Form unterscheidet sich von meiner M. distans v. exigua (1934 S. 8) durch ihre grobe Struktur.

  • Basionym
    Melosira distans var. humilis
  • Author
    A.Cleve 1939
  • Length Range
    6 µm
  • Width
    4.425 µm
  • Striae in 10µm
    10

Original Images

Melosira distans var. humilis orig illus
Melosira distans var. humilis orig descr

Cite This Page

English, J., Potapova, M. (2010). Aulacoseira humilis. In Diatoms of North America. Retrieved November 16, 2025, from https://diatoms.org/species/45642/aulacoseira_humilis

Responses

The 15 response plots show an environmental variable (x axis) against the relative abundance (y axis) of Aulacoseira humilis from all the stream reaches where it was present. Note that the relative abundance scale is the same on each plot. Explanation of each environmental variable and units are as follows:

ELEVATION = stream reach elevation (meters)
STRAHLER = distribution plot of the Strahler Stream Order
SLOPE = stream reach gradient (degrees)
W1_HALL = an index that is a measure of streamside (riparian) human activity that ranges from 0 - 10, with a value of 0 indicating of minimal disturbance to a value of 10 indicating severe disturbance.
PHSTVL = pH measured in a sealed syringe sample (pH units)
log_COND = log concentration of specific conductivity (µS/cm)
log_PTL = log concentration of total phosphorus (µg/L)
log_NO3 = log concentration of nitrate (µeq/L)
log_DOC = log concentration of dissolved organic carbon (mg/L)
log_SIO2 = log concentration of silicon (mg/L)
log_NA = log concentration of sodium (µeq/L)
log_HCO3 = log concentration of the bicarbonate ion (µeq/L)
EMBED = percent of the stream substrate that is embedded by sand and fine sediment
log_TURBIDITY = log of turbidity, a measure of cloudiness of water, in nephelometric turbidity units (NTU).
DISTOT = an index of total human disturbance in the watershed that ranges from 1 - 100, with a value of 0 indicating of minimal disturbance to a value of 100 indicating severe disturbance.

Diatoms of North America relies on the financial support of our user community. We aim to build our technical content by engaging diatomists at all levels and training the next generation. We need you to reach our 2025 fundraising goal of $25,000.

If you use and appreciate DONA, make your DONAtion today.