• Category
  • Length Range
    22-33 µm
  • Width Range
    3.9-4.6 µm
  • Striae in 10 µm
    26-30 in the center, 32-34 near the poles
  • Synonyms
    Amphora veneta var. capitata E.Y.Haw. 1974

Identification

Description

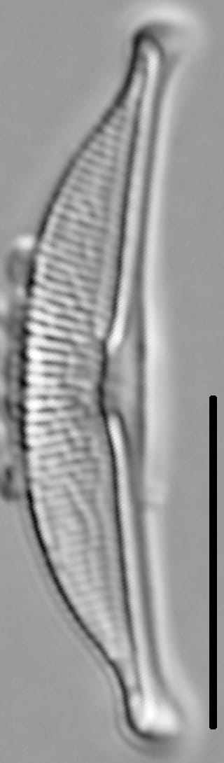
Valves are semi-lanceolate and strongly dorsiventral, with a smoothly arched dorsal margin and a weakly concave ventral margin. The ventral margin is often slightly tumid near the central portion. The valve ends are protracted and capitate. The raphe occurs near the ventral margin, is straight and gently deflects dorsally as it nears the central area. The proximal raphe ends are widely spaced; the distal ends are deflected dorsally. The axial area is narrow throughout. A dorsal and ventral fascia are both absent. Dorsal striae are punctate and radiate throughout. Ventral striae are continuous, although often difficult to observe in light microscope.

Autecology

Original Description

  • Basionym
    Amphora oligotraphenta
  • Author
    Lange-Bert. in Lange-Bert. and Metzeltin 1996

Original Images

H Oligotraphenta  Lange  Bertalot   Metzeltin 1996 Pl 96 Figs 21 22
H Oligotraphenta   Lange  Bertalot   Metzeltin 1996 P28

Cite This Page

Stepanek, J. (2011). Halamphora oligotraphenta. In Diatoms of North America. Retrieved January 23, 2026, from https://diatoms.org/species/46142/halamphora_oligotraphenta

Responses

The 15 response plots show an environmental variable (x axis) against the relative abundance (y axis) of Halamphora oligotraphenta from all the stream reaches where it was present. Note that the relative abundance scale is the same on each plot. Explanation of each environmental variable and units are as follows:

ELEVATION = stream reach elevation (meters)
STRAHLER = distribution plot of the Strahler Stream Order
SLOPE = stream reach gradient (degrees)
W1_HALL = an index that is a measure of streamside (riparian) human activity that ranges from 0 - 10, with a value of 0 indicating of minimal disturbance to a value of 10 indicating severe disturbance.
PHSTVL = pH measured in a sealed syringe sample (pH units)
log_COND = log concentration of specific conductivity (µS/cm)
log_PTL = log concentration of total phosphorus (µg/L)
log_NO3 = log concentration of nitrate (µeq/L)
log_DOC = log concentration of dissolved organic carbon (mg/L)
log_SIO2 = log concentration of silicon (mg/L)
log_NA = log concentration of sodium (µeq/L)
log_HCO3 = log concentration of the bicarbonate ion (µeq/L)
EMBED = percent of the stream substrate that is embedded by sand and fine sediment
log_TURBIDITY = log of turbidity, a measure of cloudiness of water, in nephelometric turbidity units (NTU).
DISTOT = an index of total human disturbance in the watershed that ranges from 1 - 100, with a value of 0 indicating of minimal disturbance to a value of 100 indicating severe disturbance.