• Category
  • Length Range
    33-55 µm
  • Width Range
    9.3-11.1 µm
  • Striae in 10 µm
    17-18
  • Reported As
    Neidium kozlowi var. densestriata (Antoniades et al. 2008, p.201, plate 124, figs. 6-7, 9)

Identification

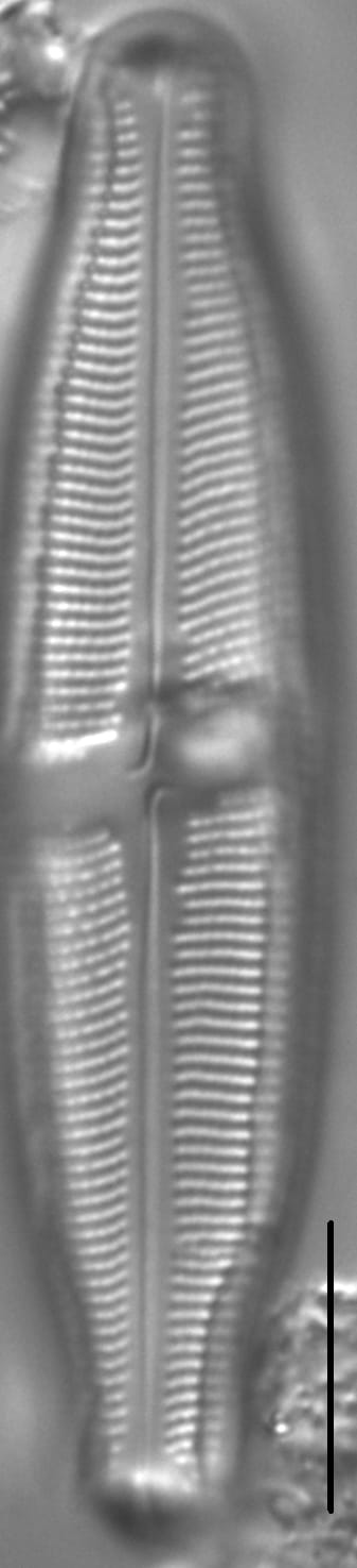
Description

Valves are lanceolate to linear-lanceolate, with subrostrate to subcapitate apices. A longitudinal line is evident along each margin. The axial area is narrow and widens near to the central area. The central area is wide, rectangular and asymmetric, oriented diagonally to the apical axis. Short striae are present at the margins of the central area. The raphe is lateral, becoming filiform near the proximal ends. The proximal raphe ends are hooked and recurved in opposite directions. Striae are oriented diagonally to the apical axis throughout. Areolae number 26-28 in 10 µm.

Autecology

Neidium fogedii is known from a lake in the Brooks Range of Alaska (Foged 1981), from surface waters in the Canadian High Arctic (Antoniades et al. 2008), and from a pond in the Rocky Mountains of Colorado (specimens shown on this web page). On the date the Colorado sample was collected, water temperature was 12.3 C, pH measured 7.20 and specific conductance measured 102 µS/cm. The Canadian specimens were collected from waters where pH varied between 8.1 and 8.5 and conductivity ranged from 151 to 707 (Antoniades et al. 2008).

Mexican Cut Ponds  Nature Conservancy
Credit: Nature Conservancy
Mexican Cut Nature Preserve, Gunnison County, Colorado: home of Encyonema willeyorum

Original Description

Valvis multo minoribus et striis densioribus a varietate nominata differt. Differs from the nominate variety by having much smaller valves and denser striae.

  • Basionym
    Neidium kozlowi var. densestriata
  • Author
    Foged 1981
  • Length Range
    37 µm
  • Width
    9 µm
  • Striae in 10µm
    18-20

Original Images

Neidiumfogedii Origimag
Neidiumfogedii Origdesc

Cite This Page

Bahls, L. (2013). Neidium fogedii. In Diatoms of North America. Retrieved November 08, 2025, from https://diatoms.org/species/48822/neidium_fogedii

Responses

The 15 response plots show an environmental variable (x axis) against the relative abundance (y axis) of Neidium fogedii from all the stream reaches where it was present. Note that the relative abundance scale is the same on each plot. Explanation of each environmental variable and units are as follows:

ELEVATION = stream reach elevation (meters)
STRAHLER = distribution plot of the Strahler Stream Order
SLOPE = stream reach gradient (degrees)
W1_HALL = an index that is a measure of streamside (riparian) human activity that ranges from 0 - 10, with a value of 0 indicating of minimal disturbance to a value of 10 indicating severe disturbance.
PHSTVL = pH measured in a sealed syringe sample (pH units)
log_COND = log concentration of specific conductivity (µS/cm)
log_PTL = log concentration of total phosphorus (µg/L)
log_NO3 = log concentration of nitrate (µeq/L)
log_DOC = log concentration of dissolved organic carbon (mg/L)
log_SIO2 = log concentration of silicon (mg/L)
log_NA = log concentration of sodium (µeq/L)
log_HCO3 = log concentration of the bicarbonate ion (µeq/L)
EMBED = percent of the stream substrate that is embedded by sand and fine sediment
log_TURBIDITY = log of turbidity, a measure of cloudiness of water, in nephelometric turbidity units (NTU).
DISTOT = an index of total human disturbance in the watershed that ranges from 1 - 100, with a value of 0 indicating of minimal disturbance to a value of 100 indicating severe disturbance.

Diatoms of North America relies on the financial support of our user community. We aim to build our technical content by engaging diatomists at all levels and training the next generation. We need you to reach our 2025 fundraising goal of $25,000.

If you use and appreciate DONA, make your DONAtion today.