• Category
  • Length Range
    12.9-14.4 µm
  • Width Range
    2.9-3.6 µm
  • Striae in 10 µm
    28-32

Identification

Description

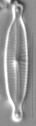
Valves are linear to linear-lanceolate and slightly dorsiventral with weakly convex dorsal and ventral margins. Apices are capitate and bent slightly to the ventral side. The axial area is very narrow, barely wider than the raphe. Central area lacking or very small and unilateral, formed by a shortened stria on the ventral side. The raphe is filiform. Raphe branches are strongly bowed and concave to the dorsal margin. Proximal raphe ends are deflected toward the dorsal margin, and distal ends are curved toward the ventral margin. Proximal raphe ends are not or only slightly expanded. Striae are radiate, becoming parallel near the apices. Areolae cannot be resolved in LM.

Autecology

Encyonopsis alpina has been collected from several lakes and streams in northwest Montana and southwest Alberta. The population shown here is from the Dearborn River in western Montana (photo below). The Dearborn River has calcium-magnesium-bicarbonate water with a pH of 8.18 and specific conductance of 316 µS/cm. The type locality of E. alpina is a lake near the Berchtesgaden in Bavaria. Krammer (1997) reports the biotope of this species as oligotrophic waters with higher oxygen content.

Dearborn  River Cloudfrontnet
Credit: Cloudfront.net
Dearborn River, Lewis & Clark County, Montana: home of Encyonopsis alpina.

Original Description

  • Author
    Krammer and Lange-Bert. in Krammer 1997
  • Length Range
    11-20 µm
  • Width
    3.0-3.8 µm
  • Striae in 10µm
    28-32

Original Images

Encyonopsis alpina orig desc
Encyonopsis alpina orig illus 2
Encyonopsis alpina orig illus 3
Encyonopsis Alpina Origdesc1018

Cite This Page

Bahls, L. (2013). Encyonopsis alpina. In Diatoms of North America. Retrieved February 07, 2026, from https://diatoms.org/species/49154/encyonopsis_alpina

Responses

The 15 response plots show an environmental variable (x axis) against the relative abundance (y axis) of Encyonopsis alpina from all the stream reaches where it was present. Note that the relative abundance scale is the same on each plot. Explanation of each environmental variable and units are as follows:

ELEVATION = stream reach elevation (meters)
STRAHLER = distribution plot of the Strahler Stream Order
SLOPE = stream reach gradient (degrees)
W1_HALL = an index that is a measure of streamside (riparian) human activity that ranges from 0 - 10, with a value of 0 indicating of minimal disturbance to a value of 10 indicating severe disturbance.
PHSTVL = pH measured in a sealed syringe sample (pH units)
log_COND = log concentration of specific conductivity (µS/cm)
log_PTL = log concentration of total phosphorus (µg/L)
log_NO3 = log concentration of nitrate (µeq/L)
log_DOC = log concentration of dissolved organic carbon (mg/L)
log_SIO2 = log concentration of silicon (mg/L)
log_NA = log concentration of sodium (µeq/L)
log_HCO3 = log concentration of the bicarbonate ion (µeq/L)
EMBED = percent of the stream substrate that is embedded by sand and fine sediment
log_TURBIDITY = log of turbidity, a measure of cloudiness of water, in nephelometric turbidity units (NTU).
DISTOT = an index of total human disturbance in the watershed that ranges from 1 - 100, with a value of 0 indicating of minimal disturbance to a value of 100 indicating severe disturbance.