• Category
  • Length Range
    26.5-42.5 µm
  • Width Range
    5-9.5 µm
  • Striae in 10 µm
    12-23 (ventral)
  • Synonyms
    Rhopalodia gibberula (Ehrenb.) O.Müll. 1895

Identification

Description

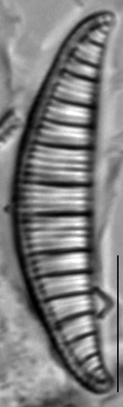
Valves are lunate, with strongly convex dorsal margins that are often slightly notched in the middle. The ventral margin is slightly concave to straight. In girdle view, frustules are widely lanceolate to elliptic and the width ranges from 11-16.5 µm. The apices can be slightly bent ventrally or may be protracted and rounded. The raphe is positioned on the dorsal margin. The transapical costa density ranges from 4-7 in 10 µm on the ventral margin, with 2-6 striae in between each costa. Costae are parallel at the valve center to slightly slightly radiate toward the apices.

Patrick and Reimer (1975) report valve lengths up to 70 µm.

Autecology

This taxon was found in a benthic periphyton mat in Silver Lake Fen and in epipelion in moist soil of Excelsior Fen, both of Dickinson County, Iowa. It has also been reported from California, Idaho, Montana, North Dakota, South Dakota, and Wyoming (Bahls 2009), as well as in saline lakes in western North America (Blinn 1993). The range of conductivity where it has been reported is wide, from low to moderately high conductivity (Patrick and Reimer 1975). It has also been found in silty and sandy marshes and identified along four different intertidal zones of southern Oregon (Nelson and Kashima 1993). In addition, the septae are commonly found in fossil records because they are heavily silicified (Fritz et al. 1999).

Epithemia species are known to grow in nitrogen-poor habitats because they are hosts to endosymbiotic cyanobacteria, which fix atmospheric nitrogen.

Rhopalodia Gibberula1
Credit: USGS BioData
Distribution of Rhopalodia gibberula in rivers of the continental U.S. based on the National Water Quality Assessment program. Retrieved 03 June 2015.
Rhopalodia Gibberula2
Credit: USGS BioData
Distribution of Rhopalodia gibberula in rivers of Alaska based on the National Water Quality Assessment program. Retrieved 03 June 2015.
Rhopalodia Gibberula3
Credit: USGS BioData
Distribution of Rhopalodia gibberula in rivers of Hawaii based on the National Water Quality Assessment program. Retrieved 03 June 2015.

Original Description

E. gibberula, punctato-striata parva, dorso late elato, apicibus leviter re-volutis constrictis. Icon?

  • Basionym
    Eunotia gibberula
  • Author
    Ehrenb. 1843

Original Images

Gibberula 2
E Gibberula Orig Des

Citations & Links

Citations

Links

Updates

May 16, 2020 - Revision to previous name

From June 2015 to May 2020, this species appeared as Rhopalodia gibberula (Ehrenb.) Kütz., which had been its accepted name. Phylogenetic analysis of diatoms with a canal raphe system showed that the genus Rhopalodia is not a monophyletic group (Ruck et al. 2016). In order for the classification to reflect evolutionary relationships, the least disruptive way to achieve the monophyly of taxa in this lineage was to subsume Rhopalodia into Epithemia. - M. Potapova


Cite This Page

Jordan, E. (2015). Epithemia gibberula. In Diatoms of North America. Retrieved January 13, 2026, from https://diatoms.org/species/50657/epithemia_gibberula

Responses

The 15 response plots show an environmental variable (x axis) against the relative abundance (y axis) of Epithemia gibberula from all the stream reaches where it was present. Note that the relative abundance scale is the same on each plot. Explanation of each environmental variable and units are as follows:

ELEVATION = stream reach elevation (meters)
STRAHLER = distribution plot of the Strahler Stream Order
SLOPE = stream reach gradient (degrees)
W1_HALL = an index that is a measure of streamside (riparian) human activity that ranges from 0 - 10, with a value of 0 indicating of minimal disturbance to a value of 10 indicating severe disturbance.
PHSTVL = pH measured in a sealed syringe sample (pH units)
log_COND = log concentration of specific conductivity (µS/cm)
log_PTL = log concentration of total phosphorus (µg/L)
log_NO3 = log concentration of nitrate (µeq/L)
log_DOC = log concentration of dissolved organic carbon (mg/L)
log_SIO2 = log concentration of silicon (mg/L)
log_NA = log concentration of sodium (µeq/L)
log_HCO3 = log concentration of the bicarbonate ion (µeq/L)
EMBED = percent of the stream substrate that is embedded by sand and fine sediment
log_TURBIDITY = log of turbidity, a measure of cloudiness of water, in nephelometric turbidity units (NTU).
DISTOT = an index of total human disturbance in the watershed that ranges from 1 - 100, with a value of 0 indicating of minimal disturbance to a value of 100 indicating severe disturbance.