• Category
  • Length Range
    22-40 µm
  • Width Range
    3.7-5.9 µm
  • Striae in 10 µm
    16-24
  • Synonyms
    Neofragilaria constricta D.M.Williams and Round

Identification

Description

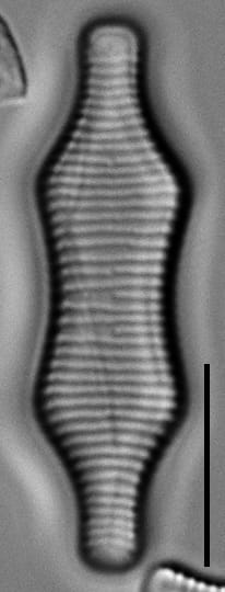
Valves linear-lanceolate with a constricted center resulting in bi-undulate margins. The rostrate to capitate apices are attenuate, ending bluntly rounded and bearing apical pore fields. Striae are parallel throughout, sometimes slightly curved at the widest portion of valve. Narrow sternum present. Spines may be visible in LM, occurring between striae along the valve face-mantle junction. A single rimoportula is located near one of the apices, and is difficult to distinguish in LM.

The concept of Fragilariforma constricta presented here conforms to most authors' species concept (Patrick and Reimer 1966, Krammer and Lange-Bertalot 1991, Camburn and Charles 2000, Kingston et al. 2001, Siver and Hamilton 2011); however, the syntypes illustrated by Ehrenberg (Falkland Islands and Montezuma River) do not clearly match the current taxonomic concept of this taxon. Analysis of Ehrenberg's material may change the taxonomic concept of F. constricta.

Autecology

Fragilariforma constricta is widely distributed in the eastern United States in low pH, dystrophic rivers (Patrick & Reimer 1966) and lakes (Camburn and Charles 2000). Siver and Hamilton et al. (2011) noted Fragilariforma constricta most abundant in New England states and very rare or absent from Mid-Atlantic States. Specimens illustrated here are from northern Minnesota.

Original Description

  • Basionym
    Fragilaria constricta
  • Author
    Ehrenb. 1843

Original Images

Fragilaria constricta orig illus
Frconstricta Original Text1

Citations & Links

Citations

Links

  • Index Nominum Algarum
  • North American Diatom Ecological Database
    NADED ID: 192002

Cite This Page

Burge, D., Edlund, M., Brant, L. (2016). Fragilariforma constricta. In Diatoms of North America. Retrieved November 08, 2025, from https://diatoms.org/species/51774/fragilariforma_constricta

Responses

The 15 response plots show an environmental variable (x axis) against the relative abundance (y axis) of Fragilariforma constricta from all the stream reaches where it was present. Note that the relative abundance scale is the same on each plot. Explanation of each environmental variable and units are as follows:

ELEVATION = stream reach elevation (meters)
STRAHLER = distribution plot of the Strahler Stream Order
SLOPE = stream reach gradient (degrees)
W1_HALL = an index that is a measure of streamside (riparian) human activity that ranges from 0 - 10, with a value of 0 indicating of minimal disturbance to a value of 10 indicating severe disturbance.
PHSTVL = pH measured in a sealed syringe sample (pH units)
log_COND = log concentration of specific conductivity (µS/cm)
log_PTL = log concentration of total phosphorus (µg/L)
log_NO3 = log concentration of nitrate (µeq/L)
log_DOC = log concentration of dissolved organic carbon (mg/L)
log_SIO2 = log concentration of silicon (mg/L)
log_NA = log concentration of sodium (µeq/L)
log_HCO3 = log concentration of the bicarbonate ion (µeq/L)
EMBED = percent of the stream substrate that is embedded by sand and fine sediment
log_TURBIDITY = log of turbidity, a measure of cloudiness of water, in nephelometric turbidity units (NTU).
DISTOT = an index of total human disturbance in the watershed that ranges from 1 - 100, with a value of 0 indicating of minimal disturbance to a value of 100 indicating severe disturbance.

Diatoms of North America relies on the financial support of our user community. We aim to build our technical content by engaging diatomists at all levels and training the next generation. We need you to reach our 2025 fundraising goal of $25,000.

If you use and appreciate DONA, make your DONAtion today.