• Category
  • Length Range
    41.9-50.2 µm
  • Width Range
    8.1-9.4 µm
  • Striae in 10 µm
    9-14

Identification

Description

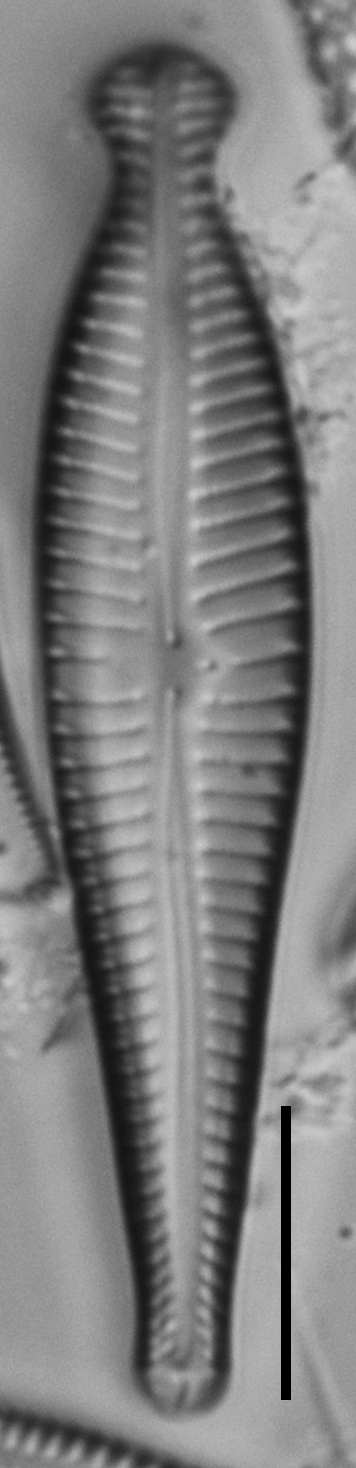
Valves are clavate and narrow, with a distinct, capitate headpole. The footpole is narrow and weakly subcapitate. The axial area is linear and narrow. The raphe is lateral and slightly sinuous. A single stigmoid is positioned in the small central area near a shortened striae on the primary sides of the valve and opposite a shortened stria on the secondary side. Striae are indistinctly punctate and radiate throughout the valve.

Autecology

This taxon was found in low abundance in Hawaiian streams.

The type locality for G. pseudospharophorum is Kawaguchi-ko (Kawaguchi Lake), Yamanashi Prefecture, central Japan. It has also been reported from the Hii River in Central Japan (Ohtsuka, 2002), South Central China (Wang et al., 2009), and South India (Amutha and Muralidharan, 2017).

Original Description

Gomphonema pseudosphaerophorum H. Kob. in Ueyama & Kobayasi sp. nov.

Valvae clavaeformes, polo apicali capitato et constricto, polo basali attenuato vel leviter capitato, 35-44 um longae, 8-10 um latae. Raphe directa, filiformis. Area acialis anguste linearis et area centralis rhoboide rotundata. Puncto segregato in uno latere noduli centralis. Striae transapicales robustae et subradiatae, 8-12 in 10 um, indistincte punctatae, punctis circiter 28 in 10 um.

Valves clavate with capitate and constricted apical pole and attenuate or slightly capitate basal pole, 35-44 um long, 8-10 um broad. Raphe straight, thread-like. Axial area narrow, linear. Central area rhomboidally rounded. Isolated punctum on one side of the central nodule. Transapical stiae robust and slightly radiate throughout the valve, 8-12 in 10 um, indistinctly punctate, about 28 in 10 um.

This species is closely related to Gomphonema sphaeroporum var. asiatica Skv. (1929; 1930) and G. sphaerophoroides Hust. in valve shape (1965). However, the isolated punctum is lacking in the variety asiatica and the striae of G. sphaerophoroides are composed of double rows of puncta.

Holotype: H.K. T-85. in coll. H. Kobayasi, will be housed in the Nat. Sci. Mus. Tokyo (Figs 11, 12). Type material: K-6089, epiphytic on Phragmites, coll. by T. Nagumo on 18, Nov, 1973. Type locality: Kawaguchi-ko (Kawaguchi Lake), Yamanashi Pref. central Japan.

  • Author
    S.Ueyama and H.Kobayasi 1988
  • Length Range
    35-44 µm
  • Width
    8-10 µm
  • Striae in 10µm
    8-12

Original Images

Gomphonema pseudosphaerophorum orig illus
G Pseudosphaerophorum Origfig2
G Pseudosphaerophorum Origfig3
G Pseudosphaerophorum Desc

Cite This Page

Polaskey, M., Vaccarino, M. (2016). Gomphonema pseudosphaerophorum. In Diatoms of North America. Retrieved February 15, 2026, from https://diatoms.org/species/51903/gomphonema_pseudosphaerophorum

Responses

The 15 response plots show an environmental variable (x axis) against the relative abundance (y axis) of Gomphonema pseudosphaerophorum from all the stream reaches where it was present. Note that the relative abundance scale is the same on each plot. Explanation of each environmental variable and units are as follows:

ELEVATION = stream reach elevation (meters)
STRAHLER = distribution plot of the Strahler Stream Order
SLOPE = stream reach gradient (degrees)
W1_HALL = an index that is a measure of streamside (riparian) human activity that ranges from 0 - 10, with a value of 0 indicating of minimal disturbance to a value of 10 indicating severe disturbance.
PHSTVL = pH measured in a sealed syringe sample (pH units)
log_COND = log concentration of specific conductivity (µS/cm)
log_PTL = log concentration of total phosphorus (µg/L)
log_NO3 = log concentration of nitrate (µeq/L)
log_DOC = log concentration of dissolved organic carbon (mg/L)
log_SIO2 = log concentration of silicon (mg/L)
log_NA = log concentration of sodium (µeq/L)
log_HCO3 = log concentration of the bicarbonate ion (µeq/L)
EMBED = percent of the stream substrate that is embedded by sand and fine sediment
log_TURBIDITY = log of turbidity, a measure of cloudiness of water, in nephelometric turbidity units (NTU).
DISTOT = an index of total human disturbance in the watershed that ranges from 1 - 100, with a value of 0 indicating of minimal disturbance to a value of 100 indicating severe disturbance.