• Category
  • Diameter
    9.6-20.1 µm
  • Width Range
    4.5-6.0 µm

Identification

Description

Frustules are loosely joined in short filaments of 1-4 cells. The length of the pervalvar axis of each frustule is 10.2-13.0 µm. Valves are cylindrical with a flat face. The mantle is narrow, and because of that, isolated valves most often lie in valve view. The valve surface is finely punctate and areolae are not obviously arranged. In some specimens, the valve face has short spinules, that may aid in filament formation. Multi-walled endogenous resting spores of various sizes and curvature are common.

Material collected in Europe is reported to have greater mantle height (7-10 µm) (Houk 2003) .

Autecology

This taxon is aerophilic, uncommon but found on wet walls and in the entries to caves. Material presented in images here was collected from Mammoth Cave, Kentucky. Melosira dickiei has also been reported from the Great Smoky Mountains National Park (Johansen et al. 2007).

7 292 13 3 Melo Dickiei Spore Gv
Credit: M.B. Edlund
Multi-walled endogenous resting spores, two levels of focus. Mammoth Cave National Park, Kentucky Wet wall scrape, Coll: T.E. Smith, 24Aug199. Scale bar = 10 µm.
9   Melosira Dickiei Spores Isotype  Hlsmith 222
Credit: M.B. Edlund
Isotype material from Scotland (Grampian) Aberdeen, HLSmith exsiccata 222 (MBEdlund collection, Science Museum of Minnesota)
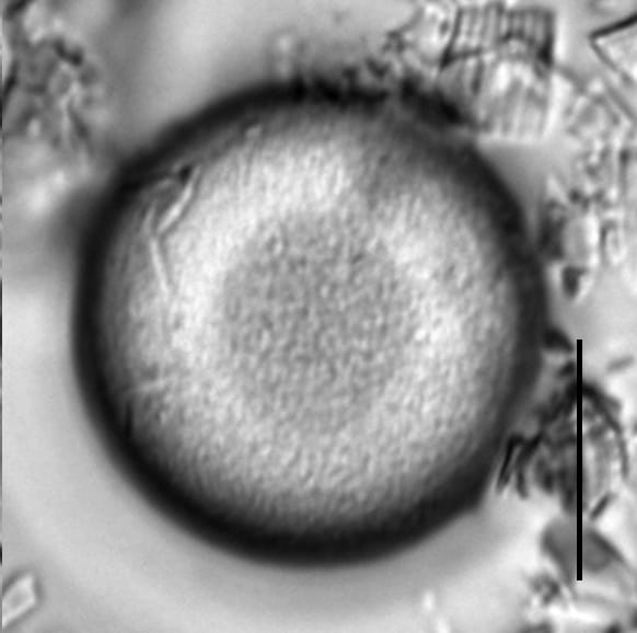
8  Melo Dickiei Auxospore
Credit: M.B. Edlund
Auxospore produced by Melosira dickiei. MBE 1076B, Science Museum of Minnesota. Mammoth Cave National Park, Kentucky. Scale bar = 10 µm.

Original Description

Orthoseira Dickieii, n. sp. Pl. XII. fig. E 1-7 (220/1). Filamentis brevibus ; cellulis laevissimis. The filaments of this beautiful species consist generally each of from two to four frustules, which are hyaline and perfectly smooth, and each with its central cavity filled with a dark red-brown endochrome. The sporangium of Orthoseira Dickieii is no less beautiful than interesting : it is fusiform in shape and marked with numerous annular constrictions, each with a corresponding internal septum or chamber, the origin of which can only be understood by paying attention to the early development of the sporangium. In fig. E3 is shown a filament of this species, the terminal cells of which have each commenced to develop a sporangium ; E4 represents two such cells or young sporangia ; and E5 a mature sporangium. It will be observed that the formation of the ring-like markings is progressive, and that they go on increasing in number until the sporangium is fully developed. At the commencement of the formation of the sporangium, the endochrome, at the same time that it withdraws from the end of the frustule, produces at its centre an additional ring of cell-membrane ; and this process continuing to take place at certain intervals—each new ring of cell-membrane exceeding in diameter those previously formed—produces at length the structure represented in E5. Or it may be a more correct explanation of the process to say, that an entire new cell-membrane has been developed by the young sporangium at the time each new ring has been formed, and that thus have originated the several chambers into which the ends of the sporangium are divided. Fissiparous division of the sporangium subsequently takes place, as shown in fig. E6, and sporangial frustules are developed from each half, E7.

  • Basionym
    Orthoseira dickiei
  • Author
    Thwaites 1848

Original Images

Melo Dickiei  Thwaites 1848 Image
Melo Dickiei  Thwaites 1848 Descrip

Cite This Page

Edlund, M., Burge, D. (2017). Melosira dickiei. In Diatoms of North America. Retrieved November 17, 2025, from https://diatoms.org/species/52454/melosira_dickiei

Responses

The 15 response plots show an environmental variable (x axis) against the relative abundance (y axis) of Melosira dickiei from all the stream reaches where it was present. Note that the relative abundance scale is the same on each plot. Explanation of each environmental variable and units are as follows:

ELEVATION = stream reach elevation (meters)
STRAHLER = distribution plot of the Strahler Stream Order
SLOPE = stream reach gradient (degrees)
W1_HALL = an index that is a measure of streamside (riparian) human activity that ranges from 0 - 10, with a value of 0 indicating of minimal disturbance to a value of 10 indicating severe disturbance.
PHSTVL = pH measured in a sealed syringe sample (pH units)
log_COND = log concentration of specific conductivity (µS/cm)
log_PTL = log concentration of total phosphorus (µg/L)
log_NO3 = log concentration of nitrate (µeq/L)
log_DOC = log concentration of dissolved organic carbon (mg/L)
log_SIO2 = log concentration of silicon (mg/L)
log_NA = log concentration of sodium (µeq/L)
log_HCO3 = log concentration of the bicarbonate ion (µeq/L)
EMBED = percent of the stream substrate that is embedded by sand and fine sediment
log_TURBIDITY = log of turbidity, a measure of cloudiness of water, in nephelometric turbidity units (NTU).
DISTOT = an index of total human disturbance in the watershed that ranges from 1 - 100, with a value of 0 indicating of minimal disturbance to a value of 100 indicating severe disturbance.

Diatoms of North America relies on the financial support of our user community. We aim to build our technical content by engaging diatomists at all levels and training the next generation. We need you to reach our 2025 fundraising goal of $25,000.

If you use and appreciate DONA, make your DONAtion today.