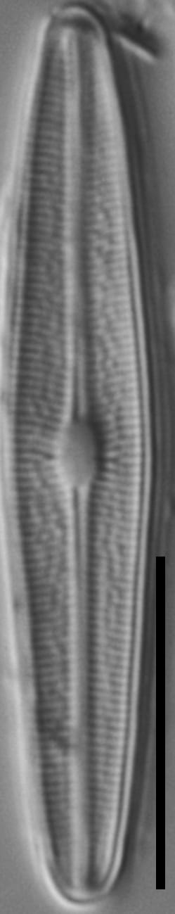
• Category
  • Length Range
    19-30 µm
  • Width Range
    3-4 µm
  • Striae in 10 µm
    32-38

Identification

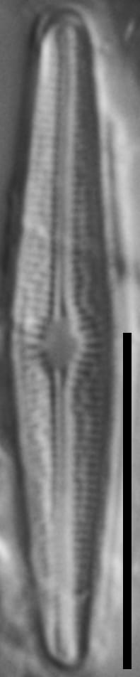
Description

Valves are linear-lanceolate, with rounded ends. The raphe is straight and filiform. The axial area is linear and narrow. The central area is moderately small, elliptic, and apically elongated. Striae are radiate, and composed of 1–3 areolae. The areolae are difficult to resolve under light microscope.

Autecology

Brachysira subtilis is a cold-water species. To date, has been recorded from Eastern Siberia and Alaska. Specimens shown on this page are from Foged's sample #270 described by Foged (1981) as a "widened watercourse" in an Eriophorum-Carex swamp with pH 4.9.

Original Description

  • Author
    Potapova, Hamilton and Kopyrina 2014
  • Length Range
    17-42 µm
  • Width
    3.2-4.4 µm
  • Striae in 10µm
    32-40

Original Images

Brach Subtile Orig Ill
Brach Subtile Orig Descr

Cite This Page

Potapova, M. (2020). Brachysira subtilis. In Diatoms of North America. Retrieved November 17, 2025, from https://diatoms.org/species/96569/brachysira-subtilis

Responses

The 15 response plots show an environmental variable (x axis) against the relative abundance (y axis) of Brachysira subtilis from all the stream reaches where it was present. Note that the relative abundance scale is the same on each plot. Explanation of each environmental variable and units are as follows:

ELEVATION = stream reach elevation (meters)
STRAHLER = distribution plot of the Strahler Stream Order
SLOPE = stream reach gradient (degrees)
W1_HALL = an index that is a measure of streamside (riparian) human activity that ranges from 0 - 10, with a value of 0 indicating of minimal disturbance to a value of 10 indicating severe disturbance.
PHSTVL = pH measured in a sealed syringe sample (pH units)
log_COND = log concentration of specific conductivity (µS/cm)
log_PTL = log concentration of total phosphorus (µg/L)
log_NO3 = log concentration of nitrate (µeq/L)
log_DOC = log concentration of dissolved organic carbon (mg/L)
log_SIO2 = log concentration of silicon (mg/L)
log_NA = log concentration of sodium (µeq/L)
log_HCO3 = log concentration of the bicarbonate ion (µeq/L)
EMBED = percent of the stream substrate that is embedded by sand and fine sediment
log_TURBIDITY = log of turbidity, a measure of cloudiness of water, in nephelometric turbidity units (NTU).
DISTOT = an index of total human disturbance in the watershed that ranges from 1 - 100, with a value of 0 indicating of minimal disturbance to a value of 100 indicating severe disturbance.

Diatoms of North America relies on the financial support of our user community. We aim to build our technical content by engaging diatomists at all levels and training the next generation. We need you to reach our 2025 fundraising goal of $25,000.

If you use and appreciate DONA, make your DONAtion today.