Brachysira procera, B. ocalanensis and B. styriaca have unprotracted apices, but each of these taxa have lanceolate valves that are slightly wider. Brachysira procera and B. styriaca have a lower lower stria density.

LM scalebar = 10 µm
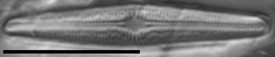
Length Range
19-30 µm
Width Range
3-4 µm
Striae in 10 µm
32-38
Brachysira subtile LM1
Brachysira subtile LM2
Brachysira subtile LM3
Brachysira subtile LM4
Brachysira subtile LM5
Brachysira subtile LM6
Brachysira subtile LM7
Brachysira subtile LM1 Brachysira subtile LM2 Brachysira subtile LM3 Brachysira subtile LM4 Brachysira subtile LM5 Brachysira subtile LM6 Brachysira subtile LM7

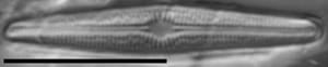
Brachysira ocalanensis

Shayler and Siver 2004

Length Range
19.0-38.6 µm
Width Range
4.0-5.7 µm
Striae in 10 µm
32-34, more closely spaced towards the apices
Brachysira ocalanensis LM1 Brachysira ocalanensis LM2 Brachysira ocalanensis LM3 Brachysira ocalanensis LM4 Brachysira ocalanensis LM5 Brachysira ocalanensis LM6 Brachysira ocalanensis LM7

Brachysira styriaca

(Grunow) R.Ross in B.Hartley 1986

Length Range
15.5-36.6 µm
Width Range
4.9-7.1 µm
Striae in 10 µm
26-30
Brachysira styriaca LM1 Brachysira styriaca LM2 Brachysira styriaca LM3 Brachysira styriaca LM4 Brachysira styriaca LM5 Brachysira styriaca LM6 Brachysira styriaca LM7

Also compare to

Brachysira procera

BioData Reference
Lange-Bertalot and Moser 1994 Pl 7 Fig 8-26