Compare

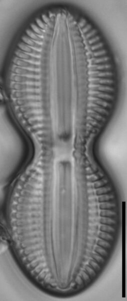
Diploneis interrupta, D. crabro, D. stroemii, D. didyma, D. bomboides, and D. weissflogii all have less constriction of the central valve. Diploneis interrupta, D. crabro, and D. stroemii have biseriate striae.

LM scalebar = 10 µm
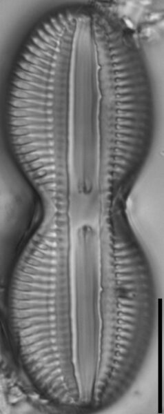
Diploneis bombus LM2 Diploneis bombus LM3 Diploneis bombus LM7 Diploneis bombus LM5 Diploneis bombus LM1 Diploneis bombus LM4 Diploneis bombus LM6
Length Range
42-50 µm
Width Range
19-25 µm
Striae in 10 µm
6-8

Diploneis interrupta

(Kütz.) P.T. Cleve 1894

Diploneis interrupta LM7 Diploneis interrupta LM6 Diploneis interrupta LM5 Diploneis interrupta LM4 Diploneis interrupta LM3 Diploneis interrupta LM1 Diploneis interrupta LM2
Length Range
35-82 µm
Width Range
13-28 µm
Striae in 10 µm
12-15

Also compare to

Diploneis crabro

(Ehrenb.) Ehrenb.

Diploneis stroemii

Hust.

Diploneis didyma

(Ehrenb.) Cleve

Diploneis bomboides

(A. Schmidt) Cleve

Diploneis weissflogii

(A. Schmidt) Cleve