• Category
  • Length Range
    23.9-29 µm
  • Width Range
    5.2-5.5 µm
  • Striae in 10 µm
    20-22 off-center on the dorsal side, 22-23 off-center on ventral side
  • Reported As
    Halamphora acutiuscula (Levkov 2009, Pl. 96, Figs. 10-18; Pl. 109, Figs. 36-44; Pl. 234, Figs. 1-4)
  • Genus Considered

Identification

Description

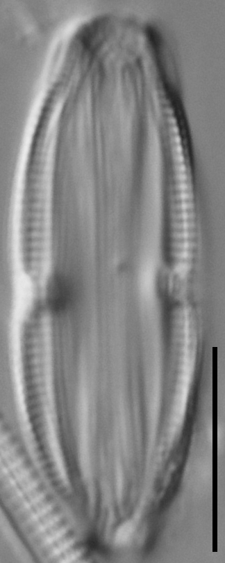
Valves are dorsiventral, with a convex dorsal margin and a linear to weakly convex ventral margin. Apices are protracted, capitate, and deflected ventrally. Dorsal striae are coarse, especially at mid-valve and toward the dorsal margin; areolae measure 18-20 in 10 µm. Ventral striae are short, most so at mid-valve. Axial area is minimal on the dorsal side and expanded ventrally. Raphe is straight, with dorsally deflected proximal ends. Central dorsal striae have a darker quality in LM due to an underlying siliceous plate. Under SEM, striae are biseriate nearest the raphe.

It should be noted that this taxon (or something very similar to it) has been reported as Halamphora acutiuscula (Kützing) Levkov (see above REPORTED AS).

In 2009, Levkov transferred Amphora acutiuscula Kütz. to Halamphora, providing observations based on LM and SEM micrographs from Baltic Sea populations (Pl. 96, Figs. 10-18; Pl. 109, Figs. 36-44; Pl. 234, Figs. 1-4). He also revisited Kützing's original Amphora acutiuscula material and published four LM images (Pl. 265, Figs. 12-15). It is this author's opinion that the non-type populations Levkov imaged are not conspecific with H. acutiuscula sensu Kütz., but instead bear strong resemblance to A. bicapitata Hohn and Hellerman (1966).

The holotype of A. bicapitata was recently revisited and imaged (Desianti et al. 2015). No specimens were found, however, in SEM preparations.

Autecology

This taxon was first found and described in the estuarine Middle River just outside Baltimore, Maryland (Hohn and Hellerman 1966). In 2014, a USGS stream survey in the southeast US collected it at several more localities, varying in distance from 70-200 km from the East Coast, in Virginia, North Carolina and South Carolina.

Original Description

Valva cum marginibus convexis, apicibus capitatis asimiliter; longitudo 24.9 μ; latitudo 5.2 μ; area axiali angustissima dorsualiter, lata ventraliter; raphe paene directa; area media dilatata rectangulate dorsualiter; striis dorsualibus punctatis, radiatis leniter, praecisis ad mediam partem 20-21/10 μ; striis ventralibus, brevibus teneris 22-23/10 μ.

Valve with convex margins, ends asymmetrically capitate; length 24.9 μ;width 5.2 μ; axial area very narrow dorsally, wide ventrally. Raphe nearly straight; central area rectangularly expanded dorsally; dorsal striae punctate, slightly radiate, shortened at center 20-21/10 μ; ventral striae short, delicate, 22-23/10 μ.

This taxon is similar to Amphora fontinalis Hust. (Arch. Hydrob. Suppl. 15: 414, pl. 24, fig. 4, 5, 1938) but differs in that the ventral striae are not interrupted as they are in A. fontinalis. Also a sulcus-type structure on the dorsal side of the valve is not evident as it is in A. fontinalis.

Specimen illustrated: G.C. 44892, type. Type locality: Middle River, Baltimore Co., Md. Distribution: Type locality.

  • Author
    M.H.Hohn and Hellerman 1966
  • Length Range
    24.9 µm
  • Width
    5.2 µm
  • Striae in 10µm
    20-21 dorsally, 22-23 ventrally

Original Images

Amphora bicapitata orig illus
Amphora bicapitata TYPE
Amphora bicapitata orig descr

Cite This Page

Bishop, I. (2017). Amphora bicapitata. In Diatoms of North America. Retrieved February 14, 2026, from https://diatoms.org/species/51982/halamphora_bicapitata

Responses

The 15 response plots show an environmental variable (x axis) against the relative abundance (y axis) of Amphora bicapitata from all the stream reaches where it was present. Note that the relative abundance scale is the same on each plot. Explanation of each environmental variable and units are as follows:

ELEVATION = stream reach elevation (meters)
STRAHLER = distribution plot of the Strahler Stream Order
SLOPE = stream reach gradient (degrees)
W1_HALL = an index that is a measure of streamside (riparian) human activity that ranges from 0 - 10, with a value of 0 indicating of minimal disturbance to a value of 10 indicating severe disturbance.
PHSTVL = pH measured in a sealed syringe sample (pH units)
log_COND = log concentration of specific conductivity (µS/cm)
log_PTL = log concentration of total phosphorus (µg/L)
log_NO3 = log concentration of nitrate (µeq/L)
log_DOC = log concentration of dissolved organic carbon (mg/L)
log_SIO2 = log concentration of silicon (mg/L)
log_NA = log concentration of sodium (µeq/L)
log_HCO3 = log concentration of the bicarbonate ion (µeq/L)
EMBED = percent of the stream substrate that is embedded by sand and fine sediment
log_TURBIDITY = log of turbidity, a measure of cloudiness of water, in nephelometric turbidity units (NTU).
DISTOT = an index of total human disturbance in the watershed that ranges from 1 - 100, with a value of 0 indicating of minimal disturbance to a value of 100 indicating severe disturbance.