• Category
  • Length Range
    17-30 µm
  • Width Range
    3.5-7 µm
  • Striae in 10 µm
    30-36
  • Reported As
    Anomoeoneis vitrea (Patrick and Reimer 1966, pg. 380, pl. 33, figs 12, 13)

Identification

Description

This entry is being evaluated following Van de Vijver et al. (2021) as belonging to B. neoexilis.

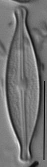
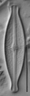
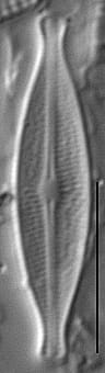
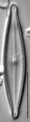
Valves are lanceolate to rhombic-lanceolate with protracted, capitate apices. Some specimens are weakly asymmetric to the transapical axis, or heteropolar. Striae are radiate, except may be parallel at the apices. The central area is small, asymmetrically rounded and, in some specimens, undistinguishable from the axial area. The axial area is narrow and straight. The raphe is positioned within two ribs that lie on the external face of the valve The ribs terminate within the central area and at the apices. Raphe is straight, and filiform with undifferentiated proximal fissures and T-shaped distal fissures. Areolae are variable in shape, most are elongate rectangular openings, and are arranged to form the appearance of wavy hyaline areas. At the apices, each stria consists of a single elongated areola. In the SEM, small papillae (silica nodules) may be located on the external valve face between the striae. A rib is present along the valve margin and apex, separating the valve face from the mantle. Striae on the mantle are long uniseriate slits aligned with striae on the valve face. In SEM, a small helictoglossa is present. Internally, the areolae are covered by delineated hymenes.

Confusion regarding the taxonomy and nomenclature of B. microcephala, B. neoexilis and B. vitrea (sensu Patrick and Reimer, 1966) is examined by Patrick and Reimer (1966), Wolfe and Kling (2001) and Shayler and Siver (2004).

Note that the subcapitate to capitate form illustrated here more typical of this species. It is referred to as Morphotype 2 (Shayler and Siver 2004). Morphotype 1 is distinguished by apiculate rounded to weakly subcapitate apices. Morphotype 1 was found in habitats with a lower pH than habitats with Morphotype 2 (Siver et al. 2004). We consider these two morphotypes as separate entities and we suggest that further taxonomic clarification. According to Compère (1986; 1988) and Wolfe and Kling (2001), B. microcephala would encompass both morphotypes.

Second, the last paragraph of his description creates an impression that morphotype 1 in Shayler and Siver is a morphotype of B. microcephala, while in fact, it is a combination of B. brebissonii and B. arctoborealis.

Autecology

Original Description

N. microcephala Grun. - Achnanthidium microcephalum W. Smith Brit. Diat. t. 41 f. 380. (vix Kg.) - Navicula exillima Grunow in literis

  • Basionym
    Navicula microcephala
  • Author
    Grunow 1867

Original Images

Brachysira microcephala orig illus
Namicrocephala  Orig Descr

Citations & Links

Citations

Links

  • North American Diatom Ecological Database
    NADED ID: 18013

Cite This Page

Hamilton, P. (2010). Brachysira microcephala. In Diatoms of North America. Retrieved December 12, 2025, from https://diatoms.org/species/45389/brachysira_microcephala

Responses

The 15 response plots show an environmental variable (x axis) against the relative abundance (y axis) of Brachysira microcephala from all the stream reaches where it was present. Note that the relative abundance scale is the same on each plot. Explanation of each environmental variable and units are as follows:

ELEVATION = stream reach elevation (meters)
STRAHLER = distribution plot of the Strahler Stream Order
SLOPE = stream reach gradient (degrees)
W1_HALL = an index that is a measure of streamside (riparian) human activity that ranges from 0 - 10, with a value of 0 indicating of minimal disturbance to a value of 10 indicating severe disturbance.
PHSTVL = pH measured in a sealed syringe sample (pH units)
log_COND = log concentration of specific conductivity (µS/cm)
log_PTL = log concentration of total phosphorus (µg/L)
log_NO3 = log concentration of nitrate (µeq/L)
log_DOC = log concentration of dissolved organic carbon (mg/L)
log_SIO2 = log concentration of silicon (mg/L)
log_NA = log concentration of sodium (µeq/L)
log_HCO3 = log concentration of the bicarbonate ion (µeq/L)
EMBED = percent of the stream substrate that is embedded by sand and fine sediment
log_TURBIDITY = log of turbidity, a measure of cloudiness of water, in nephelometric turbidity units (NTU).
DISTOT = an index of total human disturbance in the watershed that ranges from 1 - 100, with a value of 0 indicating of minimal disturbance to a value of 100 indicating severe disturbance.

Diatoms of North America relies on the financial support of our user community. We aim to build our technical content by engaging diatomists at all levels and training the next generation. We need you to reach our 2025 fundraising goal of $25,000.

If you use and appreciate DONA, make your DONAtion today.