Compare

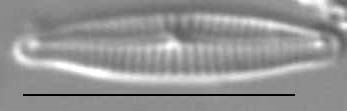
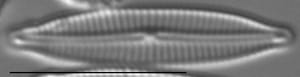
Encyonopsis lacusalpini and E. subminuta have elliptic-lanceolate valves with smaller length to width ratios. Encyonopsis neerlandica has lanceolate to rhombic-lanceolate valves. Encyonopsis perborealis has smaller valves with subcapitate apices and a higher stria density. Encyonopsis krammeri has more strongly dorsiventral valves.

LM scalebar = 10 µm
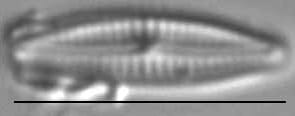
Encyonopsis Anaconda1 Encyonopsis Anaconda3 Encyonopsis Anaconda2 Encyonopsis Anaconda4 Encyonopsis Anaconda5 Encyonopsis Anaconda6 Encyonopsis Anaconda7
Length Range
16.6-24.4 µm
Width Range
3.2-4.0 µm
Striae in 10 µm
25-28

Encyonopsis lacusalpini

Bahls 2013

Encyonopsislacusalpinus1 Encyonopsislacusalpinus2 Encyonopsislacusalpinus5 Encyonopsislacusalpinus3 Encyonopsislacusalpinus4 Encyonopsislacusalpinus6 Encyonopsislacusalpinus7
Length Range
11.3-12.6 µm
Width Range
3.0-3.4 µm
Striae in 10 µm
26-29

Encyonopsis neerlandica

Van de Vijver et al. 2012

Encyonopsis Montana0 Encyonopsis Montana1 Encyonopsis Montana2 Encyonopsis Montana3 Encyonopsis Montana4 Encyonopsis Montana5 Encyonopsis Montana6
Length Range
13.7-26.1 µm
Width Range
3.3-4.4 µm
Striae in 10 µm
24-28

Encyonopsis perborealis

Krammer 1997

Encyonopsis Perborealis1 Encyonopsis Perborealis2 Encyonopsis Perborealis3 Encyonopsis Perborealis4 Encyonopsis Perborealis5 Encyonopsis Perborealis6 Encyonopsis Perborealis7
Length Range
9.7-18.6 µm
Width Range
2.5-3.8 µm
Striae in 10 µm
26-30

Encyonopsis subminuta

Krammer and E.Reichardt 1997

Encyonemopsis Subminuta 002 Encyonemopsis Subminuta 001 Encyonemopsis Subminuta 003 Encyonemopsis Subminuta 006 Encyonemopsis Subminuta 004
Length Range
10-15 µm
Width Range
3-4 µm
Striae in 10 µm
23-27

Encyonopsis krammeri

E.Reichardt 1997

Encyonopsis Krammeri 1 Encyonopsis Krammeri 2 Encyonopsis Krammeri 3 Encyonopsis Krammeri 4 Encyonopsis Krammeri 5 Encyonopsis Krammeri 6 Encyonopsis Krammeri 7
Length Range
11.4-20.7 µm
Width Range
2.9-4.4 µm
Striae in 10 µm
25-30

Diatoms of North America relies on the financial support of our user community. We aim to build our technical content by engaging diatomists at all levels and training the next generation. We need you to reach our 2025 fundraising goal of $25,000.

If you use and appreciate DONA, make your DONAtion today.